“We cater to cowards!”
If I had to guess, I’d say that the vast majority of dentists either have this sign somewhere in their office, or they at least claim that their practice possesses the unique capability to “cater” to those who are terrified of the thought of visiting a dentist.
Dr. Ankur Gupta.
This is appropriate, as there are scores of individuals, in each of our towns, whose fear drives them to avoid us but whose situation demands invasive dental intervention. So, what do we offer for those patients?
Here’s what I offered for more than twenty years:
Me: “Hey patient, I know you’re scared, but don’t worry. You’re with me now. I’m different.”
Patient: “Oh, how are you different?”
Me: “Oh, well, see, I’m really nice.”
So our strategy for these patients included the following:
- Be nice.
- Use topical.
- Shake their lip while injecting.
- Tell them what you’re doing (or not, depending on the patient).
- Ask if they are doing OK.
(Side note: I have a family member who has struggled with addiction for over a decade. As a result, I have made the personal decision not to offer any form of pharmaceutical anxiolytics in my practice.)
The list above, while perfectly admissible, isn’t that unique. Nearly all of the dentists reading this article do these things. When we say, “We cater to cowards,” what are we actually doing that is any different from any of the other dentists down the street?
This question plagued me, especially since, for some reason, my office seemed to attract a large number of young families. These were wonderful patients, but included with them was a population that I genuinely did not enjoy working on … kids with cavities.
I didn’t like making kids cry. Once I did make them cry, they would start to squirm. Once they started to squirm, I would sweat. Once I started sweating, I began to speed up, being sloppier and more rushed in procedures that I normally would spend more time with. Then when it was over, I had a kid who hated me and a filling that I wasn’t proud of.
These kids weren’t cowards. They were just kids, and I was sticking needles and drills in their mouths.
They had every right to fear their dental appointments, and I realized with tremendous clarity that I was not catering to this particular group of cowards. It didn’t matter how nice I was or how much topical I used or how much I would shake their lip, I was delivering less than I was promising, and that bothered me.
This was until, in the spring of 2023, when I learned about an emergency room physician tasked with doing incredibly unpleasant things to really scared kids. Without any pharmaceutical intervention, he was able to do so on kids who weren’t crying, squirming, wincing, or trying to escape.
His secret? Virtual reality (VR) glasses.
These patients were distracted by the video game inside the VR glasses. Of course, they still felt the discomfort of the medical intervention, but their mind was elsewhere, deeply focused on shooting little purple gremlins or solving a problem involving cubes or traveling along a landscape in the Caribbean or the Middle East.
The glasses, made by Paperplane Therapeutics, are very unique to the needs of our dental practices. Unlike other VR glasses, this device is fully cleansable with our normal dental operatory wipes. The system engages motion-sensitive tunnel vision when the patient moves their head. This design encourages calm and steady positioning and reverts back to a full view the moment motion stops. That being said, the VR glasses can be used in any position without the need to calibrate or adjust them.
The Paperplane Therapeutics VR glasses.
The Paperplane glasses were given to 11 members of the Catapult Education Product Review Board for testing in their offices. Over a few months, these dentists were asked to use them on a variety of patients, including both children and adults. While I was one of those dentists, all of the comments below come from the other 10 evaluating dentists:
“The patient was very calm throughout the procedure.”
“Once it was set up, patients did tend to move their heads less.”
“Patients seemed to focus more on VR than the procedure, we were able to work faster in many cases.”
“Kids seemed excited to have something to look forward to, as opposed to fear. In the adults, it was a nice distraction technique.”
“I think this product is great for pediatric patients, patients with special needs, and high-anxiety patients. It is nice to have as something to offer a very anxious patient.”

The majority of participants loved the product, awarding it with the Catapult Vote of Confidence.
My wife and I practice together, and during our evaluation period, she came back to our shared office and remarked, “I think that might have been the best class II (it was B-DO) that I’ve ever done on a kid.”
I came to the same realization a few days later when I had to pull a retained canine on a little boy who had been particularly challenging over the years. The two of us have been dentists for over 20 years, and while we do our best to be thorough and conscientious with our procedures, squirmy children can tempt us to rush.
The VR glasses slowed everything down. We purchased them soon after the evaluation period and have instructed our assistants to do the following for every child and for any scared adult.
Before we even walk into the room:
- The child should already have the glasses on.
- A game should already be selected.
- Topical anesthetic should already be placed (we use Orlicaine by Bennett Pharmaceuticals -- it is magical!)
Since this technology has been successfully implemented in our office, I have found that I just enjoy being a dentist a little more. The exhaustion of calming and coaching scared individuals has been severely mitigated and has allowed me to focus more on the art of dentistry.
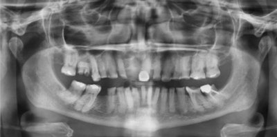
A 71-year-old woman presented to our office with significant anxiety. According to her, her father, while serving in the U.S. military, died in a dental chair. She suffered from intense dental fear her entire life as a result. Images and captions courtesy of Dr. Ankur Gupta.
After a thorough dental exam, a radiographic exam, and a review of her history and objectives, we determined that all of her remaining teeth should be extracted and replaced with an implant-retained overdenture. Judging by her radiographs, I anticipated that the extractions would be difficult and time-consuming. She refused to be “put to sleep” for the procedure.
We realized that the only option to calm her fears was to provide her with the VR glasses during the extraction, bone graft, and implant surgery procedures.
After several technically difficult appointments, the patient now enjoys a finished product. Her level of gratitude is off the charts, and she has repeatedly told us that we “saved her life.” When asked if the glasses made a difference, she responded, “It made all the difference.”
Dr. Ankur A. Gupta graduated from the University of Michigan School of Dentistry. After completing a one-year general practice residency in Cleveland, he and his partner, Dr. Nisha Gupta, started North Ridgeville Family Dentistry in Ohio. Gupta is a member of the ADA, the Greater Cleveland Dental Society, the Ohio Dental Association, the ADA Success Speaker Corp, and he is a board member and speaker for Catapult Education’s Speaker Bureau. Gupta is an Academy of General Dentistry Program Approval for Continuing Education-certified provider.
The comments and observations expressed herein do not necessarily reflect the opinions of DrBicuspid.com, nor should they be construed as an endorsement or admonishment of any particular idea, vendor, or organization.



















