
You might have seen stray wires from orthodontia in a patient's mouth, but what about in their abdomen?
Physicians in Australia found a piece of an orthodontic wire in a patient's bowel a decade after she had her braces removed, and they describe the case in BMJ Case Reports (August 7, 2017).
"The case we describe here is therefore novel in the decade delay in presentation and the clinical sequelae," the authors wrote.
The lead author was Talia Shepherd, MD, of the general surgery department of Sir Charles Gairdner Hospital in Nedlands, Australia.
10 years gone
Most inert objects that are swallowed will pass spontaneously if they get past a patient's sphincter. However, this case was unique for the object and the length of time it took to wind its way through the patient's body, the authors noted.

A previously healthy 30-year-old woman came to the emergency department at Sir Charles Gairdner Hospital. It was thought that she was experiencing biliary colic, better known as a gallstone attack. But two days later, she returned, citing worsening pain in her central abdomen.
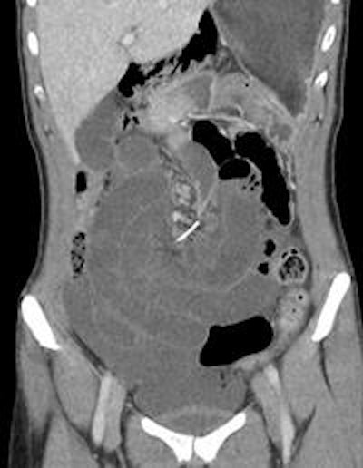
The patient underwent a CT scan of the abdomen, and a metallic, wire-shaped foreign body was found. The wire had pierced several parts of the small bowel, causing a small-bowel volvulus, or obstruction.
The patient underwent emergency surgery. The surgeons discovered a 7-cm-long piece of orthodontic wire had caused ischemia, or restriction of blood supply, of the mid-small bowel. The wire had penetrated through the small bowel and small-bowel mesentery to another loop of the mid-small bowel.
The patient hadn't worn braces for 10 years and didn't recall ingesting the wire or noticing that her braces wire was missing.
Not the first case
Interestingly, this is not the first published report of an orthodontic wire being swallowed. A case of a 29-year-old man who swallowed a 0.16 nickel titanium arch wire was reported in 2013 in Case Reports in Dentistry (June 18, 2013).
The authors of the 2013 case report noted that there are, in general, two ways in which orthodontic wires may break off. The first is in the orthodontist's office when the practitioner is cutting the end of a newly placed arch wire. The second possibility is illustrated in these two cases, when a wire may become detached for various reasons.
Dr. Shepard and colleagues of the current case report recommended that ingestion of a foreign body should be considered as a cause of abdominal pain in patients with no other medical or surgical history.