
Patients with severe periodontal disease have a 24% greater risk of developing cancer than patients with no or mild periodontal disease, according to a new study in the Journal of the National Cancer Institute (January 12, 2018).
The researchers also reported that patients who were edentulous had a 28% greater risk of developing cancer overall but an 80% greater risk of developing colon cancer. They also found that even patients who never smoked had more than double the risk of lung cancer if they had severe periodontal disease.
This long-term study was the largest of its kind to date, noted lead study author Dominique Michaud, ScD, in a statement.
"This is the largest study addressing the association of gum disease and cancer risk using dental examinations to measure gum disease prior to cancer diagnosis," stated Michaud, a professor of public health and community medicine at the Tufts University School of Medicine.
Suggested link
The researchers drew participants from the Atherosclerosis Risk in Communities Study, which included more than 15,700 participants between the ages of 44 and 66. All the participants had a baseline examination and were invited for follow-up visits over 10 years from the late 1990s until 2012.
At the fourth visit, 7,466 participants had a clinical dental examination. Those with a previous history of cancer were excluded. The current study differed from previous studies in that it included this dental examination, the authors noted.
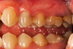
During the examination, probing depth and gingival recession were measured at six sites on all teeth. These two values were summed for attachment loss as a measure of periodontal destruction. The categories included no/mild periodontitis (less than 10% of sites with attachment loss of 3 mm or less), moderate, severe (30% or more of sites with attachment loss greater than 3 mm), and edentulous.
The researchers reported an 80% increase in the risk of colon cancer for patients who were edentulous at baseline. Interestingly, the risk for lung cancer also increased twofold for those with severe periodontitis who had never smoked, compared with those participants with no or mild periodontitis.
The researchers found that not smoking apparently did not alleviate the risk for lung cancer, according to co-author Elizabeth Platz, ScD, deputy chair of the department of epidemiology at the Johns Hopkins Bloomberg School of Public Health.
"When we looked at data for the people who had never smoked, we also found evidence that having severe periodontal disease was related to an increased risk of lung cancer and colorectal cancer," she stated.
The researchers did not find any links between periodontitis and increased risks of breast, prostate, or blood/lymphatic cancers. However, they reported that the association between severe periodontitis and total cancer risk was stronger in men and null in women, compared with those participants with no or mild periodontitis. Also, links were generally weaker or not apparent among black participants, with the exception of lung and colorectal cancers, for which associations were similar by race.
Reducing cancer deaths
The authors cited the size of the study population as the main limitation of their study. Also, the dental examination took place at the fourth visit, which was nine years into follow-up. In addition, they noted that classification of periodontal disease might be imperfect.
However, they noted that their study provides further evidence that cancer risk is higher in individuals with periodontitis. But more research is needed to understand the cancer site-specific and racial differences, they added.
"Additional research is needed to evaluate if periodontal disease prevention and treatment could help alleviate the incidence of cancer and reduce the number of deaths due to certain types of cancer," Michaud stated.



















