
Patients diagnosed with anorexia and bulimia have significantly worse periodontal conditions and poorer oral health-related quality of life, such as physical and psychological limitations, according to a new study published in the Journal of Periodontology.
This quantitative cross-sectional study included 60 patients admitted to the Specialized Mental Health Clinic of the Medical School of Marília in São Paulo, Brazil, in 2018. Half of the patients were diagnosed with anorexia or bulimia nervosa by psychiatrists at the school and were actively undergoing treatment, and the others did not have eating disorders. The study excluded patients with advanced periodontal disease and smokers.
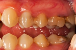
The researchers assessed the periodontal condition of the patients and categorized those with eating disorders into the first and second degrees of periodontal diseases using the Community Periodontal Index. This means that some of their periodontal diseases could be treated by improving their oral hygiene, and others needed monitoring and treatment by dentists.
Overall, the periodontal condition in the group of patients with anorexia and bulimia was significantly worse than that in the control group, the researchers reported (J Periodontol, July 30, 2019). Those without eating disorders were healthy and had little to no inflammation of the gingiva and periodontium.
Also, patients with eating disorders had higher scores on the Oral Health Impact Profile, a questionnaire used to measure an individual's perception of the social impact of oral disorders on their well-being, including the following:
- Physical pain and disabilities
- Psychological discomfort and disabilities
- Social disabilities
- Functional limitations
The highest possible score on the questionnaire is 56. Generally, a higher score indicates a worse oral health-related quality of life. The study participants with eating disorders had a mean score of about 35, while the others had a score of almost 20.
Despite the findings, the study had some limitations, including its cross-sectional design, which create limited time periods between exposure and outcome, a lack of information about the patients' nutritional status, and the small number of participants.
The study authors concluded that by knowing the signs of anorexia and bulimia, dentists have a unique opportunity to help patients with eating disorders who often deny treatment, hide their diseases, and avoid counseling before their complications worsen.
"In this sense, the dentist can play an important role within an interdisciplinary team by the identification of clinical signs characteristic of oral alterations in patients with eating disorders, contributing to the early identification, referral, and management of patients with eating disorders," wrote the authors, led by Fernando Chiba, PhD, of the department of child and social dentistry at the São Paulo State University School of Dentistry in Araçatuba, Brazil.




















