
If you’re ready for an odd story about ingenuity and dentures, let me introduce you to the tale of Francis Wharton, a Canadian who is immortalized through one of the strangest dental-related stories you will ever hear.
Wharton, whom you can read more about here, as well as see his photo, was a man who lived off the land and earned the nickname of “The Backwoods Wizard.” He did what he needed to do to survive, including shooting a deer and then using that deer’s teeth to eat the deer.
Read that again. It’s not a typo.
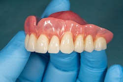
The story goes that Wharton went hunting and shot a deer. However, he was unable to enjoy the bounty of his hunt because of the condition of his teeth. Taking the teeth from the deer and filing them down, Wharton set the deer’s teeth into a base of plastic wood and then used household cement to keep the teeth in place in what has become a denture that draws plenty of attention now at the Museum of Health Care in Kingston, Ontario.
“I think the biggest question that people are always curious about is the denture’s appearance,” said Rowena McGowan, the museum’s curator. “People get confused by the way they [the teeth] look. I've had comments from people telling me they don’t really look like deer teeth. You have to explain to visitors that this took a lot of work. He filed them down. He didn’t just take a bunch of teeth out of a deer's mouth and stick them in his own mouth. It was a process.”
It is a process that certainly no dentist would recommend to his or her patients, but it’s one that shows the ingenuity of a man who wanted to take matters into his own hands. It fits into the legend of Wharton, a man who reportedly went on a bear-hunting spree after a bear killed his pet ram. He proceeded to gain revenge by eating the bear with … you guessed it … the denture made of deer teeth.
All hunting stories aside, McGowan believes that Wharton’s denture holds an important lesson for those who see the teeth.
“Having his story on display within this medical history exhibit gives us a chance to focus on the patient,” McGowan said. “In history, we hear about the hero figures, the doctors, and the medical researchers, which are all really important. I don’t want to undersell that. But sometimes when you’re talking about medical history, you can kind of lose the patient experience. So, he’s an interesting figure because he’s not a trained dentist. He’s not this sort of doctor figure. He’s a man, and you get insight into what his life was like and what his experience was like. It gives you a chance to tell that other side of the story that I’m glad we can bring into the museum.”
You can learn more about the denture by visiting the museum's website.



















