Fixed partial dentures may provide an affordable, minimally invasive treatment that delivers reliable, long-lasting results, including high survival rates, according to a study recently published in the Journal of Prosthetic Dentistry.
However, treatment plans should be tailored to each patient’s habits and tooth location, the authors wrote.
“Direct fiber-reinforced composite fixed partial dentures (DFRC-FPDs) represent an immediate, long-term treatment option for replacing up to 2 missing teeth with no or minimal tooth preparation,” wrote the authors, led by Dr. Andrea Roccuzzo, PhD, MAS, of the University of Bern School of Dental Medicine in Switzerland (J Prosthet Dent, September 12, 2025).
The 14-year retrospective study sought to evaluate the long-term outcomes of DFRC-FPDs and factors affecting their survival and success. A total of 153 DFRC-FPDs were placed in 120 patients by three dentists in a single private practice. Treatments involved either bonding to intact enamel or existing restorations, with all restorations reinforced by fiber splints, the authors wrote.
Survival was defined as the restoration remaining in place, even if repaired or replaced, while failure meant a different restoration was used, an abutment tooth was extracted, or such treatment was planned. Most restorations were placed using a minimally invasive approach, with the remainder following a microinvasive technique.
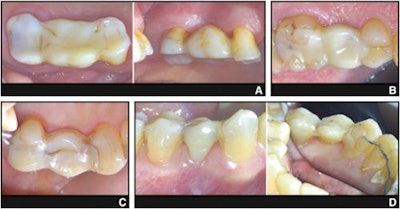
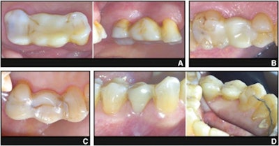
Representative photographs of four different directly fiber-reinforced composite fixed partial dentures (DFRC-FPD). (A) DFRC-FPD replacing left maxillary second premolar, supported by first premolar and first molar; in function for 13 years. Fiber bundles partially visible, but restoration clinically intact. (B) DFRC-FPD replacing left maxillary first molar, supported by second premolar and second molar; in function for 12 years, without clinical signs of failure. (C) DFRC-FPD replacing left maxillary second premolar, supported by canine and first molar; showing unilateral fracture after six years, likely associated with occlusal overload and shearing forces. (D) DFRC-FPD replacing right mandibular second premolar, supported by first premolar and first molar; showing bilateral fracture after nine years, attributed to accidental occluding on olive pit. DFRC-FPD, direct fiber-reinforced composite fixed partial denture.Image and caption courtesy of Roccuzzo et al. Licensed under CC BY 4.0.
Over an average follow-up period of 6.8 years, 18 DFRC-FPDs failed, giving an 88% cumulative survival rate, while 43 required restorative retreatment, resulting in a 60% success rate. The annual failure rate was 1.7% for survival and 7.1% for success. Multivariate analysis identified bruxism (p =.007) and extensive use of flowable composite as significant predictors of lower success, they wrote.
Additionally, tooth type affected survival (p = .002), with molars having a much higher failure risk than incisors and canines (hazard ratio [HR] = 11.9, 95% confidence interval [CI]: 2.5 to 56.9). Material choice also mattered (p = .001), as CeramX plus SDR Flow showed a higher failure risk than ELS (HR = 42.3, 95% CI: 4.2 to 424.4), while proximal cavities had no significant impact (p ≥.593). However, the study had limitations. Although this research included a relatively large number of restorations, the low number of failures limited the multivariate analysis from finding strong statistical associations, the authors wrote.
“Treatment decisions should carefully be targeted to patients’ oral behavioral factors, tooth location, and include the selection of the most suitable material available in the private practice,” Roccuzzo and colleagues concluded.




















