
Using a metal nail and other objects to dislodge popcorn from between his teeth may have caused a U.K. man's potentially fatal blood infection that led him to undergo a lengthy surgery, according to news reports.
Adam Martin is recovering following a deadly blood infection that led to his diagnosis of endocarditis. Doctors believe his attempts to remove the popcorn from his teeth by using a toothpick, pen cap, piece of wire, and a metal nail led to a mouth or gum infection, which caused bacteria to enter his bloodstream. They believe jamming these foreign objects into the sensitive gum area triggered the reaction. Left untreated, the condition would have killed him.
Martin's ordeal began in September when he and his wife were watching a movie and eating popcorn. After popcorn got stuck in his teeth, he spent three days using household items to try and dislodge it. Instead, he ended up cutting his gums. He was experiencing pain but didn't visit a dentist.
About a week later, Martin began experiencing headaches, fatigue, and night sweats. He sought medical care and doctors discovered that he had a heart murmur. These symptoms are signs of endocarditis.
The 41-year-old was sent home with medication after he underwent x-rays and blood tests. However, his flu-like symptoms persisted, and he developed a blood blister on his toe. Clinicians diagnosed the blister as a Janeway lesion, which is another sign of infective endocarditis.
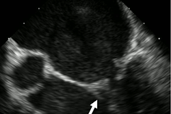
Martin's condition worsened. On October 18, he was diagnosed with endocarditis. Doctors also discovered that the aching muscle in Martin's leg was an infected clot in his femoral artery. He underwent a five-hour surgery to have it removed.
Though Martin continued to be treated with medication, chest scans revealed his heart was severely damaged. On October 21, he underwent a seven-hour open-heart surgery to replace his aortic valve and repair the mitral valve. Since the gums are a bacterial roadway to the heart, doctors believe the gum infection caused the heart damage.




















