Dental Hygiene: Page 137
Colgate rolls out Colgate Professional Direct
September 16, 2020
The link between 3rd molars and periodontal disease
September 16, 2020
Crest + Oral-B to host webinar on dental-medical integration
September 14, 2020
A hygienist responds to a study on COVID-19 and the dental practice
September 14, 2020
Tongue ulcers may be linked to SARS-CoV-2 infection
September 14, 2020
Bruush closes oversubscribed $6.5M series A round
September 13, 2020
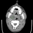
COVID-19 patient's tonsil abscess cured without exposing others
September 13, 2020









