Practice
Specialties
Hygiene
Clinical
Business
Cases
Careers
Tariffs
Sign In
Endodontics
Oral & Maxillofacial Surgery
Orofacial Pain
Orthodontics
Pediatrics
Periodontics
Smile Design
Endodontics: Page 11
Dissertation raises concerns about gen practitioners doing endo
By
Theresa Pablos
A dissertation by a Swedish dentist and researcher raised concerns about potential complications of root canal treatment performed by general dental practitioners. The research involved five studies with hundreds of dental patients at Swedish public dental clinics.
November 7, 2021
Week in Review: Root canal treatment gone wrong | Severe malocclusion cured without surgery | Nanoparticles that suppress caries
By
Theresa Pablos
November 5, 2021
Endodontics Insider: Dissertation raises concerns about gen practitioners doing endo
By
Theresa Pablos
November 3, 2021
Root canal disinfectant causes rare reaction in teen
By
Melissa Busch
A substance often used to disinfect root canals was injected incorrectly and caused an unusual cutaneous reaction in a 16-year-old girl during endodontic treatment, according to a case report published on October 31 in the
Journal of Endodontics
.
November 2, 2021
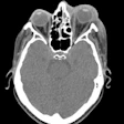
Woman loses vision in one eye due to tooth infection-induced cellulitis
By
Melissa Busch
A 54-year-old woman lost vision in one eye after developing orbital cellulitis following a tooth extraction, according to a recent case report published in
Advances in Oral and Maxillofacial Surgery
.
October 21, 2021
Patients see the dentist less often after a hospital stay
By
Hannah Welk
Patients are less likely to visit a dentist after a hospital stay, according to a study published in the
Journal of the American Dental Association
. They are slightly less likely to undergo certain types of dental procedures, including periodontic, endodontic, and oral surgery services.
October 19, 2021
Sonendo files with SEC for proposed initial public offering
By
DrBicuspid.com staff writers
Dental technology company Sonendo has filed for a proposed initial public offering of common stock with the U.S. Securities and Exchange Commission (SEC).
October 18, 2021
Getting to the root of endodontic treatment
By
Melissa Busch
The restoration of endodontically treated teeth requires a good understanding of the root canal system and use of the right tools properly at the right time, according to a Monday session at the ADA's SmileCon 2021 meeting in Las Vegas.
October 12, 2021
AAE optimizes online directory
By
DrBicuspid.com staff writers
The American Association of Endodontists (AAE) has optimized its FindMyEndodontist.com directory to provide a better user experience.
October 7, 2021
Vista Apex acquires Impact Air 45 manufacturer
By
DrBicuspid.com staff writers
Vista Apex has acquired Palisades Dental, maker of the surgical handpiece Impact Air 45, a high-speed device for the efficient removal of teeth.
October 7, 2021
Sonendo purchases FluidFile's assets
By
DrBicuspid.com staff writers
Dental technology company Sonendo has purchased all assets of FluidFile, an Israeli developer of alternative root canal treatments.
October 4, 2021
Pac-Dent buys JS Dental Manufacturing
By
DrBicuspid.com staff writers
Dental product and device company Pac-Dent has acquired endodontic manufacturing firm JS Dental Manufacturing.
September 28, 2021
Previous Page
Page 11 of 179
Next Page