A woman was diagnosed with crowned dens syndrome, a rare condition that causes severe neck pain that can lead to spinal cord compression, which was triggered by periodontitis treatment. The case report was published on February 2 in Clinical Case Reports.
After a month of medication, the woman's symptoms improved. This case report should make clinicians aware that dental treatment can cause crowned dens syndrome, the authors wrote.
"It should be considered a differential diagnosis for fever and neck pain after dental treatment," wrote the authors, led by Dr. Yohei Masuda of the Okayama University Graduate School of Medicine in Japan.
An 80-year-old woman with fever, neck pain
The woman, who had a fever, neck pain, and a two-week-old rotation disorder, was referred to an outpatient clinic. The woman, who had a history of chronic heart failure, paroxysmal atrial fibrillation, high blood pressure, and diabetes, and no underlying conditions or musculoskeletal abnormalities associated with neck pain, was undergoing periodontal disease treatment at a clinic. Her fever and neck pain started on the day she received periodontitis treatment, which lasted about an hour, according to the report.
Though her fever was controlled with acetaminophen, her neck pain with rotational restriction continued. Lab results showed she had elevated C-reactive protein levels but nothing else was abnormal. Other exams couldn't determine the source of the elevated levels. Her dentist ruled out an odontogenic infection, the authors wrote.
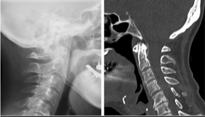
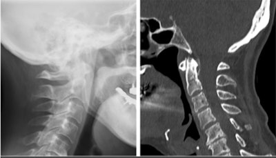
Comparison of a cervical sagittal radiograph and CT scan. Calcification around the odontoid process is not visible on a radiograph. Images courtesy of Mosuda et al. Licensed under CC BY-NC-ND 4.0.
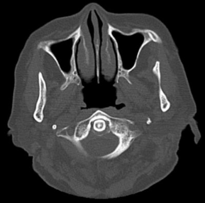
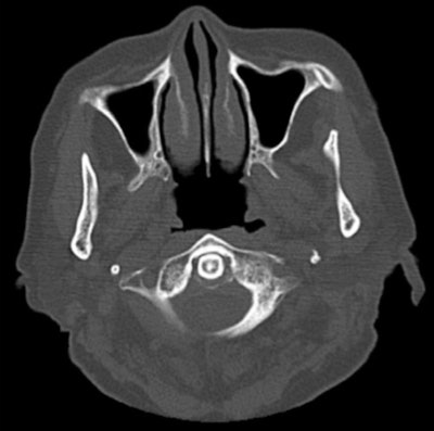
A cervical x-ray showed no abnormalities. However, a cervical computed tomography scan revealed calcification surrounding the odontoid process, which was consistent with crowned dens syndrome, they wrote.
Plain CT scan showing calcification surrounding the odontoid process. An axial CT scan of the cervical spine shows calcification on the posterior aspect of the odontoid process.
"We were unable to determine when the periodontoid calcification developed, but certain postures during odontotherapy may place sufficient stress on the neck to enhance crystal-induced inflammation and trigger CDS," Masuda and colleagues wrote.
She was given anti-inflammatory medications, but her symptoms persisted. The woman was given oral steroids and within a month, her symptoms improved, the authors wrote.
Knowing the condition
Crowned dens syndrome is a subtype of acute calcium pyrophosphate crystal deposition disease (CPPD) and features arthritis in the cervical spine and crownlike calcification around the odontoid process on computed tomography (CT) scanning. Crowned dens is linked with severe systemic stress, including surgical stress, and it initially causes fever and neck pain. In Europe and the U.S., the prevalence of CPPD is between 4% and 7% in adults.
Though crowned dens syndrome can be relatively benign and resolves on its own, it often is misdiagnosed and can lead to cervical cord compression, which can lead to numbness and weakness in other body parts.
"We believe that physicians and dentists should be made aware that dental treatment can trigger CDS," Masuda and co-authors wrote.




















