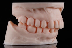
Researchers at the University of Texas at Dallas have created a technology that allows zirconia dental restorations, including crowns, bridges, and veneers, to be 3D printed and completed in a single day, according to a news release.
Unlike milled zirconia crowns, which are prone to design limits and microcracking, the 3D-printing process aspires to overcome these challenges and streamline production, according to the release dated October 16.
“We are excited to be advancing the commercialization of chair-side 3D-printed, all-ceramic zirconia permanent dental restorations,” Majid Minary, PhD, a professor of mechanical engineering at the university, said in the release.
3D-printed dental restorations are a promising option for better customization, improved color matching, and more efficient manufacturing. It may also help reduce both cost and waste. However, most same-day 3D-printed crowns currently available are made from ceramic resins, which lack the strength of zirconia.
Same-day zirconia crowns exist but are produced through milling rather than 3D printing. Milling involves carving the crown from a solid block of zirconia, which limits design complexity and can cause cracks during production. The researchers addressed a challenge in creating 3D-printed zirconia restorations, according to the release.
Their new technique shortens the processing time required after printing. Traditionally, 3D-printed zirconia must undergo debinding, a process in which the material is slowly heated to remove the resin and can take up to 100 hours, and sintering to achieve its final strength. Using advanced heat transfer and porous graphite felt, researchers whittled that step down to under 30 minutes.
Researchers hope the technique will become commercially available sooner than later. Before it’s on the market, it will need clinical testing and regulatory approval, according to the release.
Supported by a $550,000 U.S. National Science Foundation grant, their research could make same-day zirconia dental restorations a reality.
“With our technology, if a practitioner wants to offer a 3D-printed zirconia crown chair-side, they could provide it to a patient within just a few hours,” Minary said.




















