Carestream Dental is launching two new products at this week's American Association of Endodontists (AAE) Annual Session in National Harbor, MD. The new CS 8100 3D imaging system and the RVG 6200 digital intraoral sensor expand an endodontists' diagnostic capabilities and streamline daily workflows, according to the company.
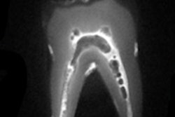
Building on the technology of the 2D panoramic images provided by the CS 8100, the CS 8100 3D offers 3D imaging and 3D model scanning in one unit. The system captures images with 1:1 accuracy without distortion or overlap of anatomy. Selectable 3D programs give endodontists control of the image size, resolution, and dose, providing an EndoHD mode (5 x 5 cm), for high-resolution scans with 75 µm precision to capture the details of root and canal morphology.
The new RVG 6200 digital intraoral sensor has a three-step acquisition process: position, expose, and view. Practitioners position the sensor in a patient's mouth, capture the image, and can view the image within seconds.
The RVG 6200's high-definition image resolution provides film-quality digital images and comes with a convenient dose indicator that identifies over- and underexposures, so practitioners can reduce the need for retakes. Additionally, the midcord on/off button featured on previous RVG 6100 sensors has been removed, so the new sensor is always on and always ready to capture images.
Endodontists can change image contrast according to their diagnostic needs with the RVG 6200's endodontic filter, which optimizes contrast values throughout the entire range of the image. The system's sharpness filter enables clinicians to customize the appearance of images to their preferred look and feel. The filter displays contrast changes in real-time, and six different sharpness options on the dynamic slider bar help practitioners find their ideal image cosmetic, including a high-sharpening filter for endodontic procedures, according to Carestream.
Practitioners interested in learning more can visit Carestream Dental in booth No. 711 at the AAE meeting.



















