
Imaging recently proved helpful in treating a woman with infections and a 15-mm lesion resulting from injection with a facial dermal filler. The case was described in the April-June issue of Advances in Oral and Maxillofacial Surgery.
After being injected with a hyaluronic acid filler, the woman experienced two infections, followed by development of the lesion, the authors wrote. The lesion was detected and treated with the help of ultrasound and magnetic resonance imaging (MRI) scans.
"What is interesting about this case is that the same filler therapy in one session led to three different complications in a patient with an inconspicuous general medical history," wrote the group, led by Dr. Philipp Becker from the department of oral and maxillofacial surgery at the Federal Armed Forces Hospital, Rübenacherstr in Germany (Adv Oral Maxillofac Surg, April-June 2021, Vol. 2, 100034).

Hyaluronic acid fillers are temporary dermal fillers that reduce the appearance of fine lines and wrinkles and add volume to the face and lips. Though results can be seen immediately, they are only temporary. Other fillers are available, but hyaluronic acid fillers are used most often because they have low antigenic potential and are known to cause fewer adverse effects.
Patients who get dermal fillers more frequently may have minor complications such as lumps, bumps, and skin redness. Less common side effects include allergic reactions, infections, scarring, and the migration of fillers to other sites in the body.
A 62-year-old woman
Becker and colleagues described the case of a healthy woman who went to the oral and maxillofacial surgery clinic after developing a hard, tender swelling near the right jaw angle. Three months earlier, her cheekbones and each side of her jaw had been injected with a hyaluronic acid filler.
A few days after the procedure, swelling appeared over her left cheekbone and was treated with antibiotics. Shortly thereafter, she experienced swelling around the left corner of her jaw. This was treated with incision, drainage, and antiseptic irrigation for a week, and the inflammation subsided.
A few weeks later, the area around the right jaw angle began to swell. She underwent surgical drainage, was prescribed antibiotics, and received hyaluronidase injections, but her condition did not improve. Instead, the swelling grew to 2 cm in size; it was painful and restricted her ability to open her mouth, according to the authors.
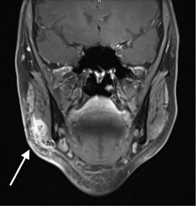
An ultrasound scan revealed an approximately 20 x 15-mm encapsulated mass. Clinicians started the patient on intravenous ampicillin/sulbactam due to the closeness of the mass to the facial nerve, and an MRI scan was performed. MRI showed a polylobulated lesion that measured 13 x 10 x 15 mm in the right masseter muscle, a facial muscle that plays a major role in chewing.

The findings were compatible with an inflammatory mass, and it was punctured and aspirated. No blood or pus emerged, which was appropriate for an accumulation of hyaluronic acid filler. Intravenous antibiotics were continued until the woman's symptoms regressed. If her symptoms had persisted with additional treatment, surgical resection would have been a final option, according to the authors.
Though hyaluronic acid injections and similar dermal fillers have become common cosmetic interventions, patients and clinicians should be aware of their potential adverse effects, the group noted.
"Proper medical training, knowledge of the patient and an experienced handling of the therapeutics used are basic requirements for success with the lowest possible complication rate of aesthetic treatments," Becker and colleagues wrote.