
A growing body of evidence shows that periodontal disease is associated with negative systemic health consequences for patients with certain diseases and conditions.
To determine the effects of periodontal disease therapy on medical costs and hospitalizations among patients with five systemic conditions, University of Pennsylvania researchers conducted a retrospective study to see if such treatment might prevent or mitigate some of the adverse effects associated with the conditions.
They found significant reductions in both healthcare costs and hospital admissions for pregnant women and patients with type 2 diabetes, coronary artery disease, and cerebral vascular disease who had been treated for periodontal disease, according to a new study in the American Journal of Preventive Medicine (June 18, 2014).
The biggest impact was among pregnant women who received treatment. Their medical costs were 74% lower than those with untreated periodontal disease. Patients with diabetes (40.2%) or cerebral vascular disease (40.9%) had significantly lower medical costs. For those with coronary artery disease, costs were 10.7% lower with treatments.
Background
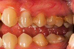
Periodontal disease is believed to impact systemic health via the dissemination of bacteria. The deep pockets often present in patients with periodontal disease offer a favorable environment for the proliferation of pathogenic plaque bacteria and facilitate the entry of bacteria and bacterial products into the bloodstream of otherwise healthy patients via ulcerated and inflamed tissues. Studies have also linked periodontal disease with premature birth in pregnant women.
“The statistically significant relationships reported here are strongly suggestive of an underlying biomedical link.”
Treatment of periodontal disease can be as simple as cleaning the teeth above and below the gum line with scaling and root planing) or surgery in more advanced cases.
The study researchers analyzed the medical and dental insurance records of 338,891 patients with periodontal disease from 2005 to 2009 who were pregnant or had been diagnosed with one of four conditions: type 2 diabetes, coronary artery disease, cerebral vascular disease, and rheumatoid arthritis. They compared patients who had at least four periodontal treatments in 2005, while the other patients were untreated.
Some 45% of the patients were women and 55% were men, with a median age of 49 years.
Results
The researchers found lower medical costs and hospitalizations in the time period following periodontal treatment in patients in four of the five conditions. They found no significant difference among patients with rheumatoid arthritis, an autoimmune inflammatory condition that the researchers said may account for the marked difference in outcomes.
"The statistically significant relationships reported here are strongly suggestive of an underlying biomedical link, irrespective of the mechanisms and causal chains that might drive it," they wrote.
Conclusion
"Clinically, it would be logical for assessment and treatment of periodontal disease to be routinely considered in the management of specific medical conditions," the study authors concluded.
The findings do not prove that treatment of active periodontal disease has a beneficial effect beyond the mouth, they noted.
"Nevertheless, simple periodontal treatment as examined here comes at modest cost and minimal risk," the study authors wrote. "Therefore, although its interventional efficacy remains open to debate, we recommend that it be considered part of the preventive armamentarium for chronic disease management."



















