
Forced surgical extrusion using an atraumatic extraction system (AES) may be a practical technique for preserving severely damaged teeth, according to a study published in the Journal of Esthetic and Restorative Dentistry.
This technique demonstrates low prosthetic and biological complications over the observation period, the authors wrote.
“Saving hopeless teeth by this relatively predictable and feasible procedure has hardly any disadvantages for patients, and in case of failure, an implant or fixed partial denture are still an option,” wrote the authors, led by Dr. Tobias Graf of the Center for Dentistry and Oral Health at Goethe University Frankfurt in Germany (J Esthet Restor Dent, April 25, 2023).
Feasible, straightforward technique
To avoid extractions, several extrusion techniques have been described to restore teeth with insufficient coronal tooth structure. However, there is limited research on the use of an atraumatic axial extraction system combined with surgical extrusion to restore seriously damaged teeth.
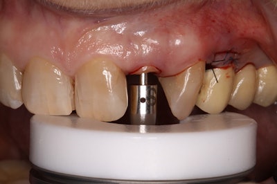
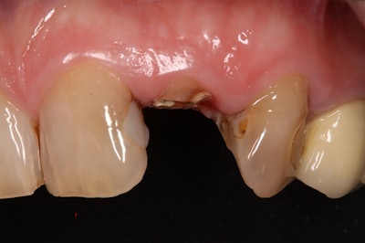
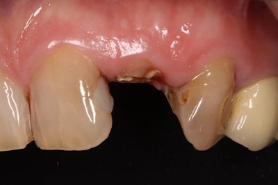
A patient's isogingivally fractured maxillary lateral incisor.Images courtesy of Graf et al. Licensed by CC BY 4.0.
To investigate the success of this technique, nine patients with one fractured tooth each that were restored with crowns underwent the procedure. The follow-up period was up to 57.1 months, with an average of 36.5 (standard deviation [SD]: ±13.5) months.
Prior to the extrusion, patients underwent sufficient endodontic obturation and treatment or retreatment of the fractured tooth. Then, an AES was used to conduct a forced surgical extrusion of a fractured tooth to its required length. It was immediately fixed by two interdental wedges, and, afterward, the anchor screw of the extraction system could be removed, the authors wrote.
All teeth were provided with root canal posts. In some patients, a post was placed adhesively in the same appointment. In others, it was done within 10 weeks after extrusion. The thickest size of the post was selected, which was fitted passively into the prepared core hole of the extrusion apparatus without or with only minimal further drilling.
An anchor screw was positioned with the AES.
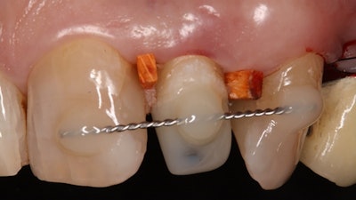
Titanium posts were airborne-particle abraded with aluminum oxide particles, and the dentin was etched for 10 seconds with 37% phosphoric acid. An adhesive core buildup was conducted with composite, and a wire splint or composite fixation was affixed to the adjacent teeth in the coronal/supragingival position, the authors wrote.
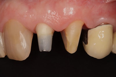
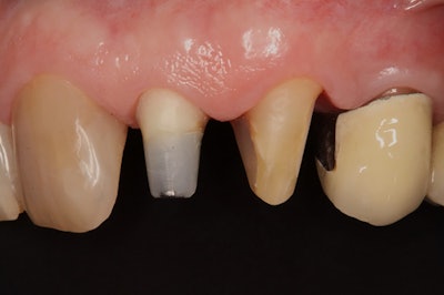
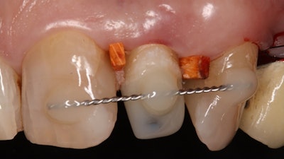
A wire splint affixed to the treated tooth.
During the observation period, a trained investigator examined patients' teeth, assessing treated teeth for symptoms such as pain, mobility, pocket depths, bleeding on probing, or tooth fractures. The restorations were considered successful if a tooth survived without infection-related resorption, replacement resorption, or periapical lesions at recall, they wrote.
After the stabilization phase, final preparations were made for definitive restorations.
Patient outcomes
With a mean follow-up period of 36.5 months, all nine teeth were in situ with no clinical signs of inflammation and no biological complications in the surrounding periodontal tissues or the periapical regions. This resulted in a biological success rate of 100% up to 57 months following the procedure.
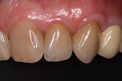
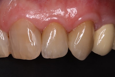
The patient's smile at a 55.8-month follow-up visit.
During the provisional phase, complications, including the debonding of tooth splinting and fractured provisional crowns, occurred but could be fixed with little effort, the authors wrote.
After the procedure, the extrusion distance radiographically measured between 2.2 and 5.7 mm (mean 3.4 ± 1 mm), and a root-to-crown ratio of 1.1 (SD ±0.2) was estimated, they noted.
The limitation of the study was the small study sample. However, the research may highlight the feasibility and straightforwardness of the procedure.
Furthermore, this technique has been around for years; only a few studies describe the long-term outcomes after forced extrusions, they wrote. Since the extrusion approach preserves soft and hard tissues, it is an effective treatment for severely damaged teeth, the authors wrote.
“(Therefore,) considering the 100% success rate over the monitored time period, the approach of a forced surgical extrusion with an AES seems to be a reliable treatment option for teeth with insufficient residual substance, at least in the short and medium term,” Graf and colleagues wrote.




















