
It's hard to tell a toothless patient to wait six months for a new set of choppers. So, not surprisingly, dentists have long chafed against the established procedure of letting implant surgery heal before loading. Now researchers suggest that the delay may be unnecessary; in many cases, dentists can load an implant with its abutment and a temporary crown on the same day they place the implant.
Several recent studies on "immediate" (otherwise known as "direct" loading) implants have come to the same conclusion, including a new dissertation by a widely published expert at Göteborg University in Sweden, that brings together five implant studies, (some previously published). But the researcher, Pär-Olov Östman, cautions that implants should only be immediately loaded in select circumstances.
Other researchers have experimented with an intermediate approach, loading implants after only a couple of months. A comparison between these approaches was published in the International Journal of Oral & Maxillofacial Implants (September/October 2007, Vol. 22:5, pp. 815-822).
|
|
| This video by Chris Kammer, D.D.S., of the Dental Pro Shop, shows immediate implants with crowns placed in one appointment. (Video added March 2009.) |
The whole field of implants has moved quickly, raising expectations of dentists and patients alike, according to Michael P. Rethman, D.D.S., M.S., past president of the American Academy of Periodontology and an adjunct faculty member at the University of Maryland. "Implants are a wonderful step up over what existed before, but patients are impatient and don't want to wait six months until they heal," Dr. Rethman said. "They would rather have the crown put right on. But there wasn't much science to suggest it would fail or succeed."
Gradually the science is arriving. In reviewing the evidence for immediate loading as part of a doctoral thesis, Östman concluded that "only totally edentulous mandibles can be regarded as well documented concerning immediate loading. With good primary stability totally edentulous maxillas show good short/medium long term results, although more data is needed before it can be regarded a safe treatment." The data for individual implants was even more tenuous, though promising, he wrote.
In the same paper, Östman reported on four studies he and his colleagues conducted. In one of these, researchers placed a total of 257 implants in the posterior mandible and, within 24 hours, put bridges on them. Some bridges were supported by one implant and tooth while others were supported by two to four implants. After one year, four of the implants did not osseointegrate and were removed. The overall cumulative survival rate was 98.4%, which compares favorably with the success rate of traditional delayed implants. The average bone loss was 0.7 mm.
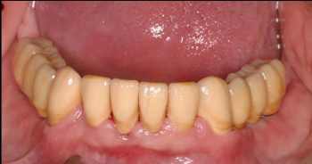
![]() |
| These screw-retained provisional fixed partial dentures were attached within 24 hours after the implants were placed. All images courtesy of Pär-Olov Östman. |
The investigators put 115 one-piece implants with a moderately rough surface all the way through the mucosa of 48 patients and loaded them within 24 hours with single crowns and partial bridges. They compared these patients to a group of 95 patients previously treated by the same team with 380 two-piece implants. All the implants in the study -- both one-piece and two-piece -- were made by Nobel Biocare AB.
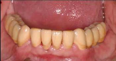
![]() |
| After one to three months, a long-term fixed partial denture was put in place of the provisional denture. |
From these experiments, Östman concluded that one-piece implants -- at least those made by Nobel Biocare -- didn't work as well as two-piece implants. But he also wrote that "immediate loading of two-piece dental implants results in good clinical outcomes if high primary stability is achieved and a rigid splinting with well controlled occlusion is applied."
For the International Journal of Oral & Maxiollofacial Implants report, investigators loaded 25 patients with 52 nonoccluding temporary restorations within 48 hours of placing their implants. Then they loaded 27 patients in a different group with 52 provisional occluding restorations within two months of placing the implants. After eight months, both groups got permanent occluding restorations. Fourteen months later, only one restoration failed -- a provisional restoration in the immediately loaded group. There were no statistical differences between the two groups.
Still, Dr. Rethman argued, it's too early for most dentists -- especially generalists -- to start cutting the waiting time for implant procedures. "I think immediate implants are a great thing, but there's a risk they won't integrate into the bone," he said.
He emphasized that the temporary crowns generally used in immediate loading should not come into contact with opposing teeth, and that patients should avoiding putting any stress on them. He also recommended that general dentists who place implants -- even using the conventional approach -- should work closely with a periodontist or oral surgeon.
Copyright © 2008 DrBicuspid.com





















