
Hear the word "ozone" and most people think about the protective layer of gas in the atmosphere -- the one with the hole in it. But last year, Jonathan Abenaim, D.M.D. -- a self-described "innovative guy" -- decided to try treating his patients with it. Now he uses the naturally occurring gas "all the time" in his Hawthorne, NJ, office, swearing that it has revolutionized his practice.
Likewise, Chris Kammer, D.D.S., has been treating patients with ozone in his Middleton, WI, practice for six years. "My patients appreciate it as an alternative to the shot, drilling, and filling," he said, adding that it's particularly welcome to young people.
To say that Drs. Abenaim and Kammer are in the minority would be putting it mildly. Ozone has been used in medicine since the 19th century, but it has remained on the margins of dentistry since 1932, when it was first used by a Swiss dental surgeon, Edwin Fisch. Dr. Abenaim estimates that only 15 dentists in the U.S. currently use ozone. Neither the FDA nor the ADA have signed off on it as a dental treatment.
Yet buoyed by a handful of promising studies and thousands of enthusiastic users outside the U.S., pioneers like Drs. Abenaim and Kammer are forging ahead. They claim ozone can treat a variety of oral infections and even help "heal" carious teeth before they need restorations. Meanwhile, ozone product makers are pushing for official approval.
Dr. Abenaim uses the CMU3 ozone generator (Lime Technologies), a device that he said costs between $12,000 and $15,000. He charges $50 per ozone treatment per surface.
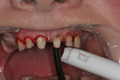
![]() |
| Ozone advocates say the treatment can stop bleeding, as shown in this photograph of gingival plastic surgery done with an electrosurge, where the right side (from the viewer's perspective) was treated with ozone and the left side was not. Image courtesy of Jonathan Abenaim, D.M.D. |
(Other commercially available ozone products include Medozons-BM from Original Dental and HealOzone distributed in the U.S. by CurOzone USA.)
As for side effects, there are respiratory consequences if ozone is inhaled. "If you inhale ozone gas, you will cough like a madman," said Dr. Abenaim, adding that he is able to suction the gas from his patients before they inhale it.
Since the FDA has not approved the treatment -- but allows the device for medical purposes and for sanitizing toothbrushes -- dentists must use it "off-label." A lot of dental procedures are that way, Dr. Abenaim argued. "We make people rinse with Listerine, and it is not FDA-approved."
CurOzone USA is anticipating FDA approval in late 2009 or early 2010, according to Edward E. Parent, executive vice president.
In the meantime, many enthusiasts are remaining on the sidelines. "I will buy an ozone device as soon as its use is FDA-approved," said James H. Arnold, D.D.S., of Chesterton, IN.
However, ozone has found a strong following outside of the U.S. Edward Lynch, B.D.Sc., M.A., Ph.D., a professor of dentistry at the University of Queens in Belfast, Ireland, estimated that more than 50,000 dentists around the world use ozone every day in their practice. He added that there is skepticism about ozone in the U.S. simply because it is a new substance. He has used ozone himself, and his patients are "very happy" with it.
So why doesn't the FDA approve the treatment?
The U.S. agency is simply more cautious, said George Stookey, M.S.D., Ph.D., a professor emeritus at Indiana University and CEO of Therametric Technologies, a caries diagnostic company. He likened the situation to the use of chlorhexidine gluconate 30 to 40 years ago: European studies demonstrated its antimicrobial abilities, and it became widely used in Europe for treating dental caries. But over time, studies required by the FDA showed that chlorhexidine's anticaries attributes were equivocal.
What's the evidence that ozone works -- and why doesn't it satisfy the critics? Part II of this two-part series takes a closer look at the science.
Copyright © 2009 DrBicuspid.com
















