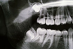
TriAgenics, a medical device company developing nonsurgical third-molar prevention, has closed a $3 million funding round with support from Asclepius Ventures.
The funds will go toward regulatory and clinical efforts, including a de novo U.S. Food and Drug Administration request for its Zero3 TBA device.
The device uses targeted heat to stop third molars from forming in children, potentially eliminating the need for future extractions.




















