Infection Control: Page 20
OSAP conference abstract deadline: February 4
February 2, 2022
Taste disorders, xerostomia common in COVID-19 patients
February 2, 2022
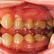
SARS-CoV-2 may reside in perio pockets, cavities
February 2, 2022
CDA offers guidance on notifying patients of COVID-19 exposure
February 1, 2022
Do patients with prosthetics need antibiotic prophylaxis?
January 30, 2022
Mothers, formula-fed babies have more similar oral bacteria
January 19, 2022
Dentists, dental students worldwide resistant to COVID-19 jabs
January 18, 2022
OSAP converts Boot Camp to virtual event
January 17, 2022








