
A vascular lesion containing calcified blood clots located near a 12-year-old's parotid gland was removed after imaging revealed an odd mass with a "toothlike" appearance. The case report was published May 20 in the Journal of Pediatric Surgery Case Reports.
Concerned that the unusual appearance on imaging was a tooth arising within germ cell tumors, the lesion was removed via a superficial parotidectomy. After the lesion, which contained phleboliths, was removed, the 12-year-old recovered without further medical intervention.
This study raises awareness of how an accumulation of phleboliths can appear on imaging, the authors wrote.
"This clumping together of the phleboliths was what gave the tooth-like appearance on imaging," wrote the authors, led by Dr. Stephen Garry of the department of otolaryngology at Children's Hospital Ireland in Dublin.
A 12-year-old girl with a lump and swelling
After visiting an emergency department with a right-sided facial mass and swelling, a 12-year-old girl was referred to a pediatric ear, nose, and throat clinic. The girl had the mass for about five months but never reported it to her parents. Once she told them, they took her to the emergency room, according to the report.
The girl reported that the mass had remained the same size and shape, she was eating and drinking normally, and she had no other related symptoms or other relevant medical history.
Upon examining her, a clinician found a firm, irregular mass on the child's right cheek. Though it was not tender to the touch, it did cause facial asymmetry. It wasn't tethered to her skin, but it seemed to move when she chewed, suggesting that it was related to the masseter muscle.
Bimanual touching indicated the mass may be related to the parapharyngeal or parotid space. There was no lymph node swelling, and the remainder of the exam was unremarkable, they wrote.
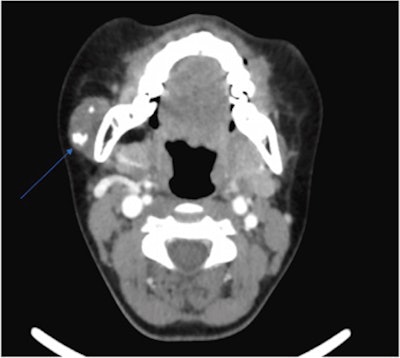
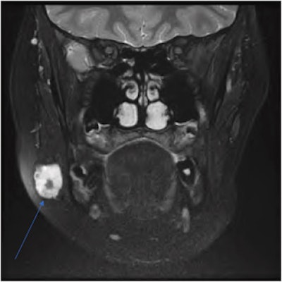
Attempts to conduct an ultrasound-guided biopsy failed because the needle wouldn't penetrate the lesion. Therefore, the patient underwent computed tomography (CT) and magnetic resonance imaging (MRI) of her neck, which showed an unusual lesion with calcification that appeared toothlike near the border of the girl's parotid gland and masseter muscle, the authors wrote.


Due to the lesion's unknown origin and concerns that it may be a possible neoplasm, a multidisciplinary team recommended an excision biopsy. The girl underwent a superficial parotidectomy to include the mass, which had multiple phleboliths clumped inside.
The girl recovered, and no facial swelling returned, they wrote.
Understanding vascular lesions
Vascular lesions are either hemangiomas or malformations, with different cellular and clinical features distinguishing them. The most frequently encountered type are venous malformations, which commonly occur in the head and neck. At times, they represent a diagnostic challenge due to the rarity of presentation and the subtlety of exam findings.
Phleboliths develop when an intravascular thrombus becomes calcified. Though they are benign, phleboliths can cause swelling and cosmetic deformity if they are not treated. When phleboliths form, they can cause concern due to their firm and sometimes irregular features, which can appear unusual on imaging, according to the report.
Due to the diversity in the way these lesions present, phleboliths must be managed on a case-by-case basis, they wrote.
Therefore, "it is important to keep a presentation such as this in mind when creating a differential diagnosis of a salivary gland swelling in a pediatric patient," Garry and colleagues concluded.