Dear DrBicuspid Member,
The U.S. Court of Appeals for the Ninth Circuit ruled that dental health aide therapists in tribal communities in Washington can receive reimbursements from Medicaid. Our top story of the week covers what you need to know about the ruling.
New debate in dentistry
Dr. Michael W. Davis's popular "Debate to Better Dentistry" series is back with a debate on the national impact of Question 2, the state bill Massachusetts voters overwhelmingly backed last November that applies medical loss ratios to dental insurers. The contenders are the dentist who wrote Question 2 and the executive director of the National Association of Dental Plans.
In case you missed it, don't miss the first "Debate to Better Dentistry" on dental therapists featuring Drs. Paul Casamassimo and Frank Catalanotto.
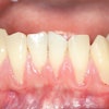
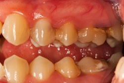
New fronts in the fight against gum disease
A group of dentists is asking organized dentistry to develop formal guidelines that address the management of patients with periodontitis who experience continued inflammation after scaling and root planing. The authors say that such patients may need to undergo reevaluations and more advanced therapy.
The call comes amid new research into the causes of and treatments for gum disease, including one company that is touting the results of a preclinical study showing that an experimental drug may restore lost bone and tissue.
Oral devices for sleep apnea
Last but not least, oral devices for obstructive sleep apnea are gaining ground in dentistry, which may leave you wondering which types of patients might benefit from this type of therapy. According to research published this week, patients' craniofacial features may help you answer that very question, with patients with a lower baseline apnea-hypopnea index and a decreased gonial angle more likely to see improvements with oral appliance therapy.



















