
While many dentists and dental practices were trying to figure out what was next for their business during the COVID-19 disruption, Dr. Johnasina Cummings was making a big investment in what was to come after her practice could open up her schedule again.
Practicing in Huntington, NY, roughly 40 miles from Manhattan, Cummings first began looking into adding technology by researching what milling her own crowns might cost and how it might affect her practice's efficiency. This was about the same time that the COVID-19 pandemic caused dental practices to pause their normal activities. Rather than think about the present challenges, however, Cummings peered into the future and purchased the glidewell.io in-office milling solution and an iTero scanner (Align Technologies) to boost her digital workflow.

"I just jumped in and didn't wade in the water," Cummings said with a laugh.
Spending money on technology in the middle of a pandemic might seem like a risk to many dentists, but Cummings said she was thinking about patient comfort and safety above everything else.
"I insist on the finest treatment for my patients," Cummings said. "My goal was to purchase technology that would limit patient visits during the pandemic. I knew that I would love to be able to do procedures in the same day, instead of making my patients have to come back multiple times. I wanted to offer them the most efficient service and convenience. With the iTero, I would also have more control to perfect my restorations."
With that in mind, along with the support of her team and those behind the technology at Glidewell and Align, Cummings quickly began to see the benefits of her decision.
"I started to tell patients about what was waiting for them when they came back into my practice," Cummings remembered. "I was so excited. My team was so excited. And I think this helped our patients to be much more comfortable and they looked forward to coming back to our practice as well."
Cummings, who has practiced for 20 years and served as an instructor at the Stony Brook School of Dental Medicine for the same time period, said the technology was a challenge that was fully embraced by her team, and that's one of the reasons why it has been so successful in her practice since it was implemented.
"You know, I feel adding technology elevates everyone," she explained. "My entire staff is committed because they're doing something more. They love helping me out with the high-tech design aspect and the amazing process of the in-office milling procedures [Glidewell's fastmill.io]. They love it because they see patients as family and they're able to offer a service to them that is better."
Cummings said the technology addition has made her a better clinician as well. During our interview, she was quick to tell me a story about a patient who had trouble with an impression going to the lab and getting a correct fit back on his crown.
"I remember calling this patient and telling him that I was getting this state-of-the-art technology," she recalled. "I said, 'I know I can do better for you.' I told him we could schedule him quickly and he agreed. That visit, I did a full scan and milled the crown. This time, it was perfect."
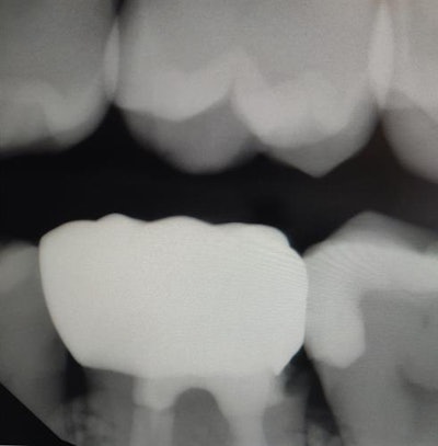
Cummings said there was deep decay lending to deep subgingival margins of the preparation, and multiple unsuccessful attempts were made by the lab to close the margin (the "before" image below, along with an "after" image showing the result of in-office milling).

"The details that the lab could not capture the first three times, we successfully duplicated and milled on the first try with our new in-office technology solution," she said. "I was able to draw the margin exactly where I wanted it and provide a superior restoration on the first effort.
"It was just impressive, for him, for me, and for everyone involved."
That one success story is part of many for Cummings and her team over the previous few months.
"Honestly, I feel like I'm a better dentist now," Cummings said. "I'm delivering a superior restoration that's anatomically and functionally correct and cost-effective for me and my patients. The whole practice is buzzing, from the front desk to the back. Everyone loves it.
"I ask my staff almost daily if I made the right move. They always smile and answer back, 'Oh yeah, doc. We love it.' "
The comments and observations expressed herein do not necessarily reflect the opinions of DrBicuspid.com, nor should they be construed as an endorsement or admonishment of any particular idea, vendor, or organization.