In restorative dentistry, clinicians continually seek materials that balance efficiency, predictability, and aesthetic performance. Over the past decade, bulk fill composites have gained significant traction by reducing placement time and simplifying restorative protocols. A new generation of bulk flowable composites is now further advancing these benefits by combining extended depth of cure, universal shade technology, high radiopacity, and innovative delivery systems designed to improve clinical workflow and restorative outcomes.
Dr. Lauren Yasuda Rainey.
This article reviews the key features of Kettenbach’s new Visalys Bulk Flow -- a nanohybrid flowable composite with 80% filler by volume that offers a 4-mm depth of cure, a universal shade with enhanced masking capability, high radiopacity, and flexible delivery options while maintaining excellent handling characteristics -- even when warmed.
Evaluator summary
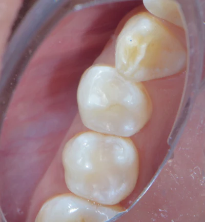
Sixteen Catapult education evaluators participated in the survey, where Visalys Bulk Flow was used in class I, class V preparations, and as a liner and in limited anterior cases. Bulk flowable composites are not generally favored in the aesthetic zone, thus the limited testing in that area. Evaluators noted the balance Visalys Bulk Flow achieved between flowability and stability. Many bulk-flow materials have a very high viscosity, leading to a runny consistency or prone to slumping, but Visalys Bulk Flow held its shape while still adapting well to the preparation. Several evaluators described it as easy to sculpt and particularly useful, especially in small occlusal preparations and cervical lesions (Figures 1, 2).
Figure 1: Preparation of class I caries on two lower premolars.Images and captions courtesy of Dr. Lauren Yasuda Rainey.
Figure 2: Immediate post-op, after placement in class I restorations on both lower premolars.
The evolution of bulk-fill technology
Traditional composite placement techniques require incremental layering, which is typically limited to 2-mm increments to ensure adquate polymerization and reduce polymerization shrinkage stress. While this technique remains reliable, it can be time-consuming and technique-sensitive, especially in some more challenging cases, such as deep class IIs, wrap-around caries, and in patients with a limited opening.
Bulk fill materials were developed to simplify restorative procedures by allowing clinicians to place thicker increments -- often up to 4 mm while still achieving reliable polymerization. Advances in photoinitiator chemistry, filler technology, and translucency have enabled these materials to maintain adequate depth of cure without compromising mechanical strength and polishability.
Kettenbach’s Visalys Bulk Flow composite continues this evolution by delivering a predictable 4-mm curing capability, allowing clinicians to restore deeper restorations with fewer increments. For practitioners managing high patient volumes or complex restorative schedules, the ability to place bulk increments where appropriate can translate to improved efficiency without sacrificing clinical outcomes.
Universal shade technology: Simplifying the armamentarium
One of the most compelling aspects of this material is its one-shade system. Shade selection and composite inventory management can present logistical challenges in busy practices. Traditional composite systems often rely on multiple shades and opacities to achieve acceptable aesthetics, increasing both inventory costs and procedural complexity. Many composite manufacturers are beginning to offer more streamlined shading systems, and Kettenbach’s Bulk Flow is one great example. Over 85% of the evaluators found the shade matching of Visalys Bulk Flow consistent with their expectations on an appropriate shade match.
Universal shade or “chameleon” composites aim to simplify this process by providing a streamlined number of shades that blend with a broad range of tooth colors. This is typically achieved through optical properties that allow for color adaptation, allowing the material to blend in with the surrounding tooth structure and translucency that allow for adequate light to pass to the deeper areas for polymerization. That being said, at a depth of 3 mm, Visalys Bulk Flow has a high opaquing capacity, with the ability to mask an underlying amalgam stain and highly chromatic dentin. By effectively masking underlying discoloration while still blending with surrounding tooth structure, the universal shade reduces the need for multiple composite shades or additional, more opaque materials.
Figure 3: Upper premolar with failing disto-occlusal amalgam restoration.
Figure 4: Upper premolar with amalgam removal completed under Isolite (Zyris) isolation. Crack on the mesial is visualized.
Figure 5: Upper premolar with sectional automatrix showing the base layer of Visalys Bulk Flow as an initial increment after 35% phosphoric acid selective etch (Select HV Etch, Bisco) and universal adhesive (All Bond Universal, Bisco). Masking of the underlying dark dentin was achieved with this layer.
In this clinical case, a large failing amalgam was removed from an upper premolar during an emergency visit (Figures 3, 4, 5). The initial pulpal diagnosis was reversible pulpitis. Due to the large crack on the mesial, a composite buildup was placed initially, and the tooth was taken out of occlusion to begin crack stabilization. Endodontics was consulted a few weeks later. For the initial layer of the buildup, Visalys Bulk Flow was placed after a universal adhesive to mask the underlying darkened dentin during this temporary phase of treatment. Figure 3 shows the exceptional opaquing capability of this material.
Delivery options designed for clinical precision
Handling and placement are critical factors that influence restorative success. Kettenbach’s Bulk Flow is available in two delivery systems, each designed to accommodate different clinical preferences. The traditional syringe format offers clinicians familiarity and control. Many practitioners prefer syringes for their direct tactile feedback and straightforward dispensing during restorative procedures, with tips available in a 0.9-mm or 1.2-mm diameter.
Additionally, it comes in a capsule delivery system. The capsule delivery system incorporates a small metal cannula tip that loads directly into a composite gun, providing enhanced precision during placement in more challenging areas. This feature offers several practical advantages -- it improves access in hard-to-reach areas, allows for enhanced control in deep or narrow preparation designs, and reduces the need to manipulate the flowable after it is extruded due to the material’s limited slump after placement.
Figure 6: Visalys Bulk Flow capsule with the metal cannula loaded into an AdDent CompexHD composite warming applicator.
Composite warming: Enhancing handling without compromise
Composite warming has become increasingly popular among clinicians seeking improved material handling. Warming composite materials can reduce viscosity, allowing them to flow more readily and adapt more closely to cavity walls and deep boxes.
Editor's note: Learn more about Dr. Lauren Yasuda Rainey's experience using Kettenbach’s new Visalys Bulk Flow nanohybrid flowable composite.
This bulk flowable composite has been designed to accommodate this technique safely. Both the syringe and capsule formats can be warmed in a composite warmer up to 68°C (154°F) for up to one hour without negatively affecting the material properties.
Seventy-five percent of the Catapult evaluators polled reported that the viscosity met their expectations as is, but having the capability to decrease the viscosity with heat is a favorable additive property. For practitioners who routinely use composite warmers, this compatibility offers another level of flexibility in clinical technique. Evaluators noted that even at elevated temperatures, it maintains its position once placed in the preparation.
Radiographically rad
Visalys Bulk Flow boasts high radiopacity that eases visualization in the radiographic examination. Patients are asking more often than not to be shown their records, and want to review them chairside. High radiopacity in a material makes it visually simple to see where the margins are radiographically placed and sealed. Sharing the before-and-after images and radiographs with patients enhances doctor-patient rapport and supports an open dialogue on patient expectations post-operatively.
Clinical workflow and conclusions
As restorative dentistry continues to prioritize both efficiency and aesthetic excellence, materials that successfully combine these attributes will play an increasingly important role in everyday clinical practice.

For practitioners seeking to streamline their restorative procedures without sacrificing aesthetics or control, Visalys bulk flowable composite offers a compelling solution. Its ability to simplify shade selection while exhibiting high radiopacity, adapt to a wide range of clinical situations, and maintain excellent handling characteristics -- even when warmed -- makes it a versatile addition to the modern dental armamentarium. Based on the collective experience of the Catapult evaluators who tested the material in everyday clinical settings, Visalys Bulk Flow earned the Catapult Vote of Confidence™, recognizing its strong performance and value in restorative practice.
Dr. Lauren Yasuda Rainey is a graduate of the University of the Pacific, Arthur A. Dugoni School of Dentistry. She completed a general practice residency at the Tufts University School of Dental Medicine. In addition to clinical practice, Dr. Rainey has held faculty positions at the Dugoni School of Dentistry and is a speaker for Catapult Education's Speakers Bureau. She is active in giving back to her communities through her involvement in Women in Digital Dentistry, and as a mentor for the Guiding Leaders program through Glidewell Labs. She was recently named a 2026 Lucy Hobbs Awardee for her contributions to leadership within dentistry.
The comments and observations expressed herein do not necessarily reflect the opinions of DrBicuspid.com, nor should they be construed as an endorsement or admonishment of any particular idea, vendor, or organization.




















