
The ultimate goal when treating a patient is not just "do no harm" but -- what's more -- to provide a holistically positive experience that ultimately fosters lifelong doctor-patient relationships, ensuring that the patient becomes a committed member of the practice.
Anthony Ramirez, DDS.When a patient needs an implant, the general practitioner's options are clear: treat the patient in your practice or refer to a specialist.
The natural progression when diagnosing in the third dimension is to enter the world of computer-assisted implantology and obtain a cone-beam CT (CBCT) scan for preimplant planning. Developing the surgical skills required to offer guided implant placement surgery will increase the success of your practice dramatically.
I use the Galileos 3D (Sirona) for an enhanced analysis with proper diagnosis, optimal treatment planning, and increased case acceptance. I know my success is fortified by my use of computer-assisted guided implantology.
Surgical guides
The use of surgical guides (figure 1) is an absolute necessity to place safe, precise, and optimally positioned implants. With the end in mind, I integrate the data derived from my scan and the dental anatomy derived from my Cerec (Sirona) intraoral optical scan to plan and place prosthetically driven implants (figure 2). Multiple benefits follow this protocol, with the most important being positive patient experiences, faster healing, less postoperative discomfort, and little to no interruption of the patient's daily routine.
Figure 1 (above): A potpourri of surgical guides used. Figure 2 (below): A well-positioned guided implant. All images courtesy of Dr. Anthony Ramirez.Flapless guided implant surgery only requires tissue punch to access the available bone (figures 3 and 4). When ample keratinized tissue is present and sufficient bone volume is present, sutures are unnecessary and the surgery is minimally invasive.


Figure 3: Workflow-guided implant.
Figure 4: What a difference a guide makes.Since the leading indication for obtaining a CBCT is preimplant planning, the natural evolution is to use this invaluable information to provide implant surgery and specifically guided implantology to our patients (figure 5). A greater level of safety is achieved and a higher standard of care that, in my opinion, is unmatched by conventional freehand implant surgery.
Figure 5: Actual guided implant 3D view post-op.As you journey into implant placement with surgical guides, your level of confidence rises knowing you will precisely place your implant fixtures based on the 3D virtual plan devised in Galileos implant software. Placing realistic virtual implants into an edentulous site or multiple sites better prepares you for the actual placement (figure 6). I review any of the vital anatomical structures without distortions that might be encountered during surgery and make measurements that can be extremely advantageous when getting close to adjacent teeth, the incisive foramen, the mental foramen, the maxillary sinus, the mandibular canal, or an unusual mandibular concavity, to name a few.
Figure 6: A virtual implant.The software provides us with safety margins to avoid penetrating these vital structures. You may find that a crestal sinus lift may be necessary to accept the planned fixture or that decreasing the length of the implant may be appropriate. Either way, you are not blindsided by atypical anatomy or underprepared for your procedure. This goes hand in hand with our "Do no harm" oath.
An additional feature of the Galileos implant software is the implant planning report where you can evaluate various views of the surgical field. Once the surgical guide is sent for fabrication to the SICAT lab in Germany (figure 7) you can be assured that the plan you created will be verified for accuracy and, if there is any problem encountered, a detailed evaluation will follow.
Figure 7: SICAT surgical guide in place.The final acceptance is always up to the clinician, but this is an additional safeguard that ensures the quality of the guide will match the plan and be accurate to submillimetric measurements. You receive the surgical guide, a planning report, and the drilling recipe for each implant planned. This decreases the need for inventory as you can order implants as needed.
Another benefit when using a surgical guide is that you can fabricate a provisional presurgery or create a contoured healing abutment to shape and prepare the gingival architecture prior to the definitive restoration.
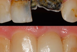
The use of a guide will result in more accurately placed implants that can be easily restored with Cerec or conventional impression methods (figures 8-13 in slideshow below).

The guide safeguards the 3D position of the implant regarding depth, spatial relationship to the adjacent teeth, and proper angulation (figure 14). Practicing with these technologies will distinguish you from your colleagues.
Figure 14: Final implant osteotomy.When you "do it differently," you will gain the full control over the digital workflow necessary to place and restore implants.
Anthony Ramirez practices in Brooklyn, NY. He can be reached at [email protected] or via his website.
The comments and observations expressed herein do not necessarily reflect the opinions of DrBicuspid.com, nor should they be construed as an endorsement or admonishment of any particular idea, vendor, or organization.


















