
You know that old restoration on Mrs. Smith's No. 4? The one that's coming loose at the margins? Instead of tearing it out and putting a new one in, maybe you should just seal over it.
That's the suggestion a team of researchers made last week at the International Association for Dental Research (IADR) meeting in Miami.
Dentists could successfully seal, refinish, repair, or simply monitor many fillings they are now replacing, said Valeria Gordan, D.D.S., M.S., MSci, a University of Florida professor of operative dentistry who was involved in three prospective longitudinal clinical studies of the techniques. "This data suggests alternative treatments are viable," she said.
For a study on replacing composite restorations, Dr. Gordan and her colleagues recruited 27 patients with 70 defective restorations. They randomly assigned the restorations to no treatment, replacement, or alternative treatment.
The alternative treatment group was subdivided according to what type of alternative treatment might work best. If the researchers could completely seal over a restoration with defective margins on an occlusal surface, they did so, using standard sealants of the type normally used to prevent caries in pits and fissures.
They repaired other defective restorations with composite and refinished yet others, smoothing rough spots and uneven contours.
The researchers used a modified Ryge criteria that included color match, marginal adaptation, anatomy, roughness, marginal staining, interfacial staining, contact, secondary caries, sensitivity, and luster. They counted as a failure any "Charlie" level in these criteria, a crown placed, or a restoration falling off.
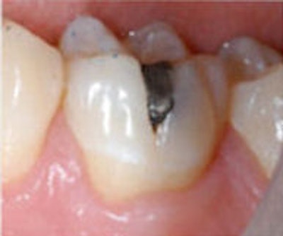
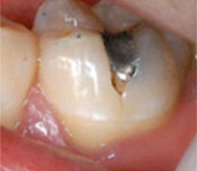
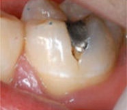
![]() ![]() |
![]() ![]() |
| Top left, a degraded amalgam restoration. Top right, cavity preparation. Bottom left, the restoration repaired. Bottom right, the same restoration four years later. All images courtesy of Gustavo Moncado, D.D.S. |
After seven years, none of the repaired or sealed restorations failed, compared to 18% of the refinished restorations, 14% of the replaced restorations, and 23% of those untreated, according to the researchers. However, while these numbers suggest that sealing and repairing were better options than replacing, refinishing, or not treating, the differences didn't quite reach statistical significance (p = 0.06). The alternatives were statistically just as good as replacing the fillings.
Many of the restorations suffered some degradation without actually failing. The refinished restorations were significantly more likely to lose color match, marginal adaptation, and luster than the other groups.
For a similar study on amalgam restorations, the replacement alternatives also fared well. For amalgam, the researchers used marginal adaptation, anatomy, contact, secondary caries, and sensitivity to evaluate the restorations. Once again, they identified a trend toward better results with repairing and sealing than with refinishing and replacing or not treating, but the differences were not statistically significant.
In the third study, presented by Gustavo Moncada, D.D.S., a University of Chile professor, 195 amalgam fillings and 78 composite restorations were evaluated together over the course of four years. This study, too, found that sealing, refinishing, and repairing were successful alternatives to replacing, Dr. Moncada reported.
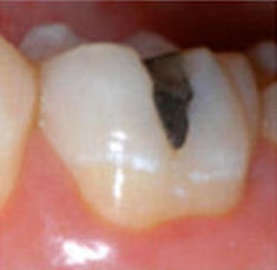
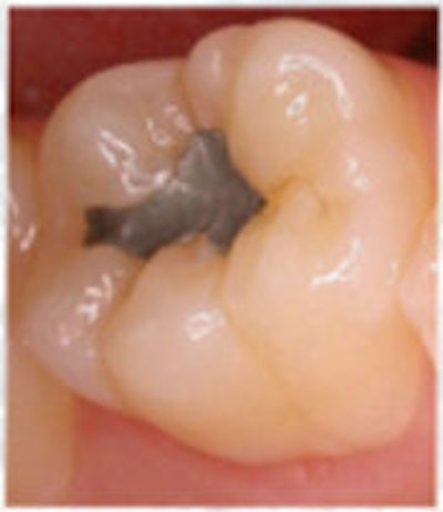
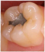
![]() ![]() |
| Left, sealant over an amalgam restoration. Right, the same restoration four years later. |
(His study was funded by the University of Chile and 3M ESPE; the University of Florida funded the other two.)
Dr. Moncada said that no significant differences could be seen between amalgam and composite materials when comparing the success rate of the alternative treatments. He noted that the sealant sometimes seemed to disappear over time, but that didn't seem to affect the longevity of the treatment.
These alternative treatments have multiple benefits, Dr. Gordan noted. "Every time you remove an existing restoration, you increase the cavity size," she said. "This type of treatment could increase not only the longevity of the existing restoration, but also promote the preservation of tooth structure, which in turn increases the lifetime of the tooth."
Yet few, if any, dentists are trying alternative treatments. "That's the purpose of this study," she said, "to change that."
Copyright © 2009 DrBicuspid.com
























