
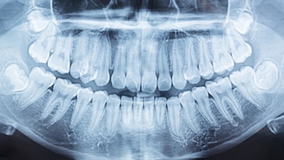
Assessing bone mineral density (BMD) on the sides of the jaw known as the mandibular ramus via panoramic dental x-rays may help flag patients at risk for osteoporosis. The study was recently published in the Journal of Oral and Maxillofacial Surgery.
Panoramic dental x-rays may serve as an adjunctive tool for screening osteoporosis, the authors wrote.
"These findings underscore the value of panoramic radiography as an adjunctive method for identifying individuals at risk of osteoporosis, mainly when assessing BMD in areas like the mandibular ramus, which are free from dental interference and significant muscular influences," wrote the authors, led by Dr. Alan Grupioni Laurenco, PhD, of the Ribeirão Preto School of Dentistry at the University of São Paulo in Brazil (J Oral Maxillofac Surg, June 27, 2024).
Osteoporosis, which commonly occurs in postmenopausal women, significantly reduces bone density and increases the risk of fractures. Cortical bone, which is the biggest calcium deposit in the human skeleton, is principally affected by conditions like osteoporosis. Since the cortical bone can be seen on panoramic radiography, this area of the lower jaw canal may be helpful in assessing BMD.
To characterize and compare changes in the cortical areas of the mandibular canal, the panoramic x-rays from 52 normal osteopenic and osteoporotic postmenopausal women over the age of 40 were assessed. All of the women underwent osteoporosis risk assessment by dual-energy x-ray absorptiometry (DEXA).
Of these women, 26 were normal, 19 were osteopenic, and eight were osteoporotic. In this cross-sectional study, black pixel intensity on the radiography was used to measure BMD of the mandibular canal cortices.
Among the groups, considerable differences were seen in the percentage of black pixels in the mandibular ramus. For the normal group, the average percentage of black pixels was 3.19% (±0.65). For the osteopenic and osteoporosis groups, the average percentages were 2.78% (±0.65) and 2.35% (±0.65), (p = 0.015), respectively, the authors wrote.
Nevertheless, the study had limitations, including the small number of patients with osteoporosis involved in the research. The limited number of patients made it difficult to generalize the findings.
In the future, the authors plan to carry out bivariate analyses of covariates versus pixel density by region to better support these results.
"We found statistically significant differences in pixel intensity of the mandibular ramus between patients classified as normal and osteoporotic by DXA examination," Laurenco et al wrote.




















