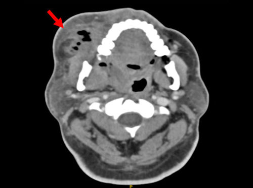
DrBicuspid.com staff writers[email protected]DiabetesPacific Dental partners with Arizona-based ACOPacific Dental Services has formed a partnership with Arizona-based accountable care organization (ACO) Commonwealth Primary Care to help reduce medical costs for the ACO's Medicare patients in the state.January 26, 2022PeriodonticsPenn Dental Medicine offers new advanced dental programThe University of Pennsylvania School of Dental Medicine (Penn Dental Medicine) has launched a hybrid master's program: Master of Advanced Dental Studies.January 26, 2022Product UpdatesProto3000 to offer VHF dental milling machinesDental lab Proto3000 has partnered with VHF to offer its grinding and milling machines.January 26, 2022HomeKaleidoscope taps new CEODental marketing firm Kaleidoscope has named Mary Kay Miller as its CEO.January 26, 2022CosmeticCAO Group files patent complaint against P>he CAO Group has filed a complaint against Procter & Gamble (P&G) claiming patent infringement over P&G's Crest teeth whitening strips.January 25, 2022DSOTAG hires Jeri Doris as chief HR officerTAG - The Aspen Group said that Jeri Doris will join the company as chief human resources (HR) officer. The move comes shortly after the dental service organization's rebranding.January 24, 2022Product UpdatesColgate-Palmolive, 3Shape introduce teeth whitening toolColgate-PalmoliveColgate-Palmolive and 3Shape are partnering to introduce a tailored-to-patient teeth whitening software tool to dental clinics across the U.S.January 24, 2022HomeRoland DGA makes organizational changesRoland DGA had made three organizational changes in its sales and support teams. The moves will strengthen the company's leadership, it said.January 24, 2022Practice Management SoftwareMethod Procurement inks deal with Synergy Dental PartnersMethod Procurement Technologies has inked a contract to provide dental product pricing and budget support to dental group purchasing organization Synergy Dental Partners.January 23, 2022Hygiene ToolsCrest, Oral-B to celebrate Children's Dental Health MonthOral-B and Procter & Gamble's Crest plan to mark Children's Dental Health Month in February by offering awards to pediatric and family dental professionals who promote oral health for underserved children.January 23, 2022Previous PagePage 189 of 1606Next PageTop StoriesImaging & CAD/CAMThis may indicate the severity of dental infectionsThis finding on computed tomography scans may predict dental infection severity and hospital outcomes.MarketingPractical ways to market your dental practice using AIHygiene ToolsDr. Tom Giacobbi praises one of dentistry's unsung heroesLegal IssuesDentist accused of assaulting minor hit with more chargesOrofacial PainOuch! There may not be enough oral pain specialists