
When an endodontically treated tooth continued to prove troublesome, Daniel Hatch, DDS, decided it was time to extract and replace it. But this Montrose, CO, dentist utilized a remarkable approach: He extracted his own tooth and placed the implant himself. He also filmed the procedure and put it on YouTube.
Dr. Daniel Hatch and his staff at All-In-One Dental in Montrose, CO. All images courtesy of Dr. Hatch.
To Dr. Hatch, it was a practical decision, not a stunt. "My tooth started hurting, so I thought I'd take it out," he said in an interview with DrBicuspid.com. "I've done quite a few implants, and so I felt comfortable doing it myself, a little bit more so than having someone else do it. And I saved some money in the process."
It also provided an opportunity for his practice, All-In-One Dental. "The biggest motivation for recording it was that, a lot of times, patients are really nervous when you're describing what an implant entails, or even an extraction for that matter," Dr. Hatch said. "I thought, 'Hey, if I have this video, I can show them that they don't have to be sedated and that it isn't a major ordeal, even if I perform the procedure on myself.' I thought it could help them relax."
The video, posted on December 30, starts with Dr. Hatch anesthetizing himself in a mirror. Next, with the help of an assistant, he "cleans out the infectious tissue, places an implant, completes a cadaver bone graft, and then stitches himself up," as the description states.
The stunning video nearly stayed in Montrose until he had a conversation with his wife, Tara. "I just planned on using it in the office," Dr. Hatch explained. "So I talked to my wife and asked her, 'What do you think? Should we post it on the Internet?' She said, 'Well, I guess we can. Let's see what happens and see if people like it.' "
A couple days after he posted it, the practice was contacted by the local newspaper. "We're in a pretty small town, and it's kind of funny how fast the word traveled," he said. "We've had quite a few of our existing patients comment on it on our Facebook page. Others are coming into the office saying they've seen it already, so it definitely let people know I do implants."
The need for the implant dates back to an injury he sustained as a teenager. "I knocked out Nos. 9 and 10 when I was about 17 years old," Dr. Hatch said. The shotgun he was hunting with had kicked back and hit him in the mouth. "No. 9 slipped vertically up into the maxilla, and they weren't able to save it. They had to do some grafting and place an implant," he explained. "10 just kind of shattered, so they were able to do a root canal and a post and crown. But then about six years ago, I noticed that I was getting a fistula up there, so an endodontist did an apicoectomy."
“I just thought it would be a cool video to help patients feel at ease.”
The procedure was effective until December of last year. By Christmas day, he had an abscess and a swollen mouth. "I thought, 'You know, I'm done with this thing.' The implant they put in -- I never had any issues with it," Dr. Hatch said. "This one, I've already been through two separate procedures and here's my third one, so let's just get it out of there and move on."
As a clinician, Dr. Hatch has always enjoyed performing surgical procedures. "It was my No. 1 temptation to specializing, but I didn't want give up all the other aspects of dentistry, too," he said. "My practice is called All-In-One Dental, because I enjoy doing everything, basically, from surgery to fillings."
As a dental student at the Marquette University School of Dentistry, Dr. Hatch completed his requirements early, giving him an opportunity to spend time assisting one of the periodontal surgeons there. "Initially, I assisted with him doing different grafting and implants, and then toward the end I got to start placing and doing my own surgery," he said. "It was kind of like a miniresidency while I was in dental school."

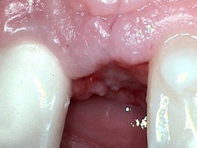
Top: Dr. Hatch after the extraction and before the implant placement. Bottom: One week after the extraction, bone graft, and implant placement. "Things are healing well, and I got my new fake tooth," Dr. Hatch said.
Consequently, Dr. Hatch has a long-standing sense of confidence in treating third molars and placing implants. The procedure on himself took about 30 minutes, roughly 10 minutes longer than it usually takes.
Editing the video didn't take much longer. "I was watching the BYU bowl game with my wife, and I just put it together while we were watching the game," he recalled. "It took me probably an hour and a half to two hours to put it together with the music and everything, and by the time the game was in the fourth quarter, I was done with my video editing."
A week afterward the procedure, he took a post-op picture and posted it on his Facebook page. "It's looking good!" Dr. Hatch said. "I just have to let it heal for a couple more months, and then we'll put a tooth on it."
Meanwhile, the video, with the help of message boards and social media, is garnering increased attention. "Like I said, I wasn't thinking a whole lot about what I was planning on doing with it; I just thought it would be a cool video to help patients feel at ease," Dr. Hatch said. "Where it goes from here, I have no idea. It's kind of taking on a life of its own."



















