
Overjet announced it has received 510(k) clearance from the U.S. Food and Drug Administration (FDA) for its artificial intelligence (AI) product Dental Assist.
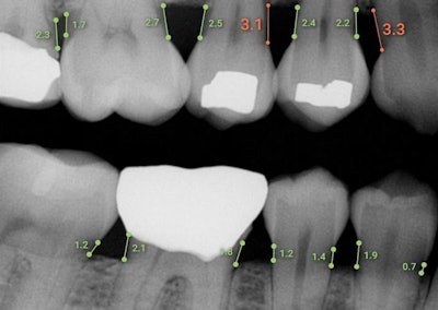
The AI software supports dental professionals in measuring mesial and distal bone levels in bitewing and periapical radiographs. It was designed to assist in periodontal disease diagnosis and treatment planning.
Overjet was founded three years ago on technology developed by dental researchers from the Massachusetts Institute of Technology and Harvard University.
 Overjet's Dental Assist software measures bone levels in millimeters. Image courtesy of Overjet.
Overjet's Dental Assist software measures bone levels in millimeters. Image courtesy of Overjet.


















