
In the realm of restorative dentistry, patients suffering from bruxism pose a unique challenge when it comes to achieving a balance between durability and aesthetics.
This case involved a middle-aged female patient who presented with frequent fractures in her composite restorations on teeth #s 7-10. She sought a solution that not only addressed the durability issues but also restored the natural look of her smile, making this case a combination of functional and aesthetic priorities.
Case presentation
The patient had previously undergone multiple composite restorations for teeth #s 7-10, which had fractured several times due to her bruxism. She expressed dissatisfaction with the repetitive nature of these repairs and desired a long-lasting, natural-looking solution that wouldn't require frequent maintenance.
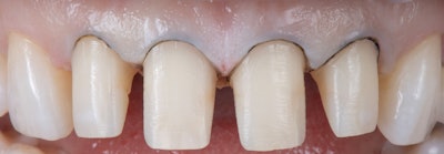
Figure 1: Pre-op photo of teeth #s 7-10 showing fractures caused by bruxism. Images and captions courtesy of Dr. Jae Seon Kim, MSD.
Upon examination, it was clear that the patient's bruxism contributed significantly to the fractures in her restorations (Figure 1). The goal was to provide a durable, fracture-resistant restoration that could withstand the functional demands of her bruxism while seamlessly integrating with her natural dentition.
Diagnosis and treatment planning
After a thorough clinical examination, including occlusal analysis and radiographs, the diagnosis of bruxism was confirmed. The treatment plan involved removing the existing composite restorations and placing monolithic lithium disilicate restorations (Amber Press by Hassbio). This material was selected for its strength and aesthetic properties, making it an ideal choice for a patient with high functional demands. The bonding protocol involved the use of Clearfil Universal Bond Quick 2 and Panavia V5 resin cement in shade A2 (Kuraray Noritake), ensuring a durable and aesthetic result.
Treatment process
Step 1: Initial evaluation: The first step was to evaluate the incisal display at rest to ensure that the final restorations would maintain the patient's desired esthetics. The patient was satisfied with the current length of her teeth, so no mock-up was necessary. Treatment planning from the "outside in" is critical in cases like these, ensuring the final restorations align with the patient's smile goals.
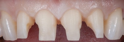
Step 2: Tooth preparation: Teeth #s 7-10 were minimally prepped with a 0.8-mm reduction facially and lingually and 1 mm incisally (Figure 2), and previous composite restorations were removed. This conservative approach was possible due to the use of a monolithic restoration, which requires less material thickness compared to layered ceramics. The lack of discoloration in the tooth structure meant no additional reduction was required to mask underlying shades, preserving as much healthy tooth as possible.
Figure 2: Initial reduction and preparation of teeth #s 7-10.
Step 3: Composite build-up: The sequence of treatment is to do the tooth preparation as close to the final preparation as possible prior to doing the composite build-up. This sequence will ensure that the maximum amount of dentin is sealed during the composite build-up process. If the build-up is done first and then the preparation is completed, much of the composite may be removed, potentially exposing the underlying dentin. To rebuild the teeth after removing caries and failed restorations, Clearfil Universal Bond Quick 2 was used as the bonding agent, and Clearfil Majesty ES Flow Universal in the universal shade was applied to create the composite build-up (Figure 3). This build-up provided a strong foundation for the final restorations, ensuring both structural integrity and aesthetic appeal.
Figure 3: Composite build-up with Clearfil Majesty ES Flow Universal.
Step 4: Final preparation and cord placement: After the build-up, the final preparations were refined, and gingival retraction cords (00 size) were placed around the teeth to ensure precise margin placement (Figure 4). This step is crucial in cases where minimal preparation is performed to ensure the margins are accurately captured during the impression process.
Figure 4: After composite build-up, preparations were refined and a retraction cord was placed.
Step 5: Impression and lab fabrication: Definitive impressions of the prepared teeth were made with VPS, and a wax-up was created. In the lab, Amber Press lithium disilicate ingots were pressed to form the final restorations, which were then shaped, glazed, and polished (Figure 5). This process ensures a high-strength, aesthetic restoration that mimics the natural tooth structure.
Figure 5: Finished Amber Press lithium disilicate crowns on a model.
Step 6: Bonding and cementation: Before seating the restorations, the prepared teeth were air abraded with 27-µm aluminum oxide and cleaned with Cavity Cleanser by Bisco and Katana Cleaner by Kuraray Noritake. The restorations were etched with hydrofluoric acid and treated with Clearfil Ceramic Primer Plus to enhance adhesion. They were then bonded using Panava V5 resin cement in shade A2 (Figure 6). Excess cement was carefully removed, and the occlusion was checked to ensure proper function.
Figure 6: Close-up of seated final restorations.
Challenges and unique aspects
One of the challenges in this case was managing the patient's expectations of minimal tooth reduction while ensuring the durability of the restorations. Monolithic lithium disilicate offered the perfect solution, providing the necessary strength without requiring excessive preparation. Additionally, careful management of the patient's bruxism was critical to ensure the longevity of the restorations. The use of a highly filled composite for the build-up and the thin film thickness of the bonding agent contributed to the overall success of the case.
Outcome and long-term prognosis
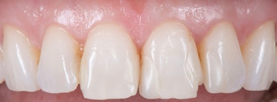
The patient was highly satisfied with the result, both in terms of function and aesthetics (Figure 7). The monolithic lithium disilicate restorations provided a natural and seamless appearance while offering the durability needed to withstand the patient's bruxism. A follow-up appointment was scheduled to assess the occlusion and make any necessary adjustments to ensure the restorations function properly in the long term. Depending on the progression of the patient's condition, additional protective measures, such as a nightguard, may be considered to help preserve the restorations and minimize wear over time.
Figure 7: Full-smile view of seated final restorations.
Key learnings
This case highlights the importance of selecting the right materials and techniques to meet the functional and aesthetic needs of patients with bruxism. Monolithic lithium disilicate restorations offer an ideal solution, providing strength, durability, and natural aesthetics. Careful planning, minimal preparation, and the use of advanced bonding techniques are critical in ensuring the success of such restorations. By integrating these techniques and materials into practice, clinicians can provide patients with long-lasting, functional, and esthetic results that stand the test of time.
Dr. Jae Seon Kim, MSD, received his certificate in prosthodontics from the University of Washington and is a board-certified prosthodontist practicing in Seattle. Dr. Kim focuses on aesthetic rehabilitation of the natural dentition and implants and is currently an affiliate assistant professor at the University of Washington.
The comments and observations expressed herein do not necessarily reflect the opinions of DrBicuspid.com, nor should they be construed as an endorsement or admonishment of any particular idea, vendor, or organization.



















