
A tooth-extraction method that originated at least a century ago for patients with hemophilia may be the answer to removing baby teeth from nervous kids, according to research published on July 3 in the American Journal of Orthodontics and Dentofacial Orthopedics Clinical Companion.
Using the atraumatic extraction technique -- in which a clinician places an elastic band over a loose baby tooth to encourage natural, painless exfoliation -- can minimize trauma, manage a child's anxiety over extractions, and prevent orthodontic treatment delays. The method is not intended for baby teeth with roots that are still permanently connected to the jaw or those without permanent successors, the authors wrote.

"Placing an orthodontic elastic band or separator over a gingivally-retained deciduous tooth by the orthodontist or pediatric dentist, and with prompt patient recall, provides a safe and atraumatic method for deciduous tooth extraction in an anxious child," wrote the group, led by Dr. Neil Kravitz, owner of a private orthodontics practice in South Riding, VA.
How it works
Atraumatic extraction originated in the 1930s as a way to remove permanent teeth in patients with hemophilia. Prior to this technique, tooth extractions were considered risky, with a high incidence of death, in patients with the disorder due to their issues with blood clotting.
This method was successful in these patients because their teeth loosened and fell out or could be removed without trauma. The technique involves a clinician stretching an elastic band over a tooth and moving it below its contact points. The band travels down the root on its own, causing rapid atrophy of the periodontium.
A method for many
Though the technique was initially intended for people with hemophilia, over time it has been applied in other situations requiring atraumatic tooth extraction. In recent years, the method has been used to extract teeth safely in patients at high risk of osteonecrosis due to treatment with bisphosphonates. It was even used to remove an infected tusk from an elephant without placing the animal under general anesthesia, the authors noted.
With these successes in mind, the authors reapplied this technique to remove gingivally retained baby teeth from healthy, nervous children. The technique was tested in a 13-year-old boy and a 12-year-old girl.
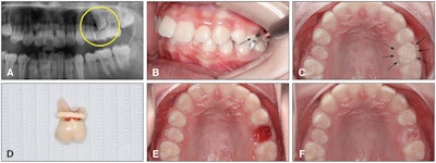
In the case of the 13-year-old boy, he needed his gingivally retained baby left second molar removed before an orthodontic appliance could be placed. The boy was apprehensive about having the tooth pulled and refused to wiggle it out himself, so a dentist stretched an elastic band over his molar crown and through the contact points interproximally. The band was then moved down to the cervical margin of the tooth. The boy experienced no pain during the technique, which was completed within seconds.
The boy's parent was told to save the tooth with the elastic band in a plastic bag if it fell out before his next appointment in seven days. At the appointment, the dentist noted the tooth was absent and the boy's premolar had erupted in its place. The child reported that the tooth fell out on the second day, the authors wrote.

This method also proved successful in removing a baby tooth that was immobile due to incomplete root resorption in a 12-year-old girl. A clinician placed an elastic band on the girl's maxillary deciduous left second molar due to an ectopic premolar. The family was unwilling to have a pediatric dentist extract the tooth under local anesthesia but permitted the new technique. When the patient returned seven days later, her tooth was mobile and extruded. At that time, the family allowed the dentist to use his fingers to pull her tooth. The child was not given local anesthesia.

A caveat
The extraction technique could be dangerous if used inappropriately, the authors wrote. When elastics are used improperly, they can cause iatrogenic extraction of healthy teeth.
Nevertheless, apprehension about removing loose baby teeth could delay children from receiving necessary orthodontic treatment. Having a dentist use the atraumatic extraction method hastens the tooth extraction process without causing trauma, the authors concluded.
"Within one week, the deciduous tooth with its elastic band should exfoliate painlessly," Kravitz and colleagues wrote.
A technique with a history
The method became commonplace in the 1930s, but it was first suggested in 1870 by a clinician who wrote in the monthly journal Dental Cosmos about an accidental loosening of a tooth by a rubber band. In 1934, Dr. Walter William Dalitsch wrote about using the elastic band method to successfully remove teeth from a patient with hemophilia.

Interestingly, Dalitsch is also known as one of the first dentists to recognize the harmful effects of radioluminescent paint, which was used on glow-in-the-dark watch dials at Radium Dial Co. in Illinois. Dalitsch treated "radium girls" -- factory workers who developed head and neck cancer from licking radium paint brushes. The women would lick the brushes to give them a precise point before they painted the numbers on dials.
"Perhaps his use of the atraumatic extraction technique provided them with some relief," the authors wrote.