
A 51-year-old man unintentionally swallowed a dental crown, resulting in an unusual case of appendicitis caused by ingestion of a foreign body, according to a case report published April 12 in the Cureus Journal of Medical Science.
Imaging, specifically an x-ray and a cone-beam computed tomography (CBCT) scan, played a vital role in identifying the foreign object and helping clinicians with treatment planning. Though the man made a complete recovery following removal of the dental crown, the rarity of a foreign object causing appendicitis makes this case important, the authors wrote.
"More specifically, the rarity of appendicitis is caused by a dental crown that a patient mistakenly swallowed," wrote the authors, led by Zachary Brennan, a medical student in the surgery department at Michigan State University's College of Osteopathic Medicine in East Lansing.
Typical presentation, rare cause
A 51-year-old man visited the emergency department after experiencing acute onset pain that localized in the right lower quadrant of his abdomen over several days. When he presented, he reported experiencing nausea, dry heaving, and sharp, worsening pain in his stomach, according to the report.
The man's medical and surgical history were unremarkable, but he had recently visited the dentist to have dental crowns placed on six teeth. The patient reported that most of his old crowns had fallen out or he had coughed them up. He admitted that he may have swallowed one, the authors wrote.
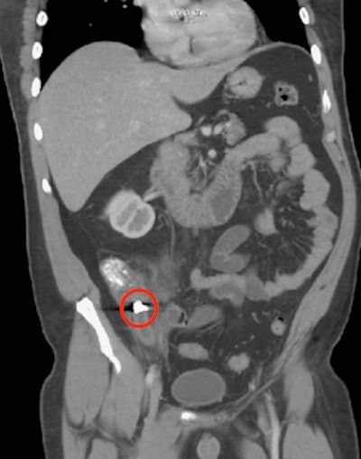
Upon physical examination, the man had no fever, a normal pulse, and normal blood pressure rates, but his white blood cell count was elevated. Due to suspected appendicitis, emergency clinicians ordered an abdominal x-ray and CT scan.
Imaging revealed a 1 x 0.9 cm metallic density in the man's appendix, as well as inflammatory findings consistent with acute appendicitis. Imaging also showed a lack of normal muscle contractions in the intestines in the man's regional right lower quadrant, the authors wrote.


Based on the imaging, clinicians diagnosed the man with acute appendicitis. He was prescribed prophylactic preoperative antibiotics, then underwent a successfully completed robot-assisted appendectomy.
After the procedure, clinicians examined the endo catch bag and discovered the dental crown that caused the man's appendicitis. The man recovered without complications, the authors wrote.
Appendicitis caused by a foreign object
Appendicitis caused by foreign objects is rare, accounting for about 0.005% of total cases in the U.S. In its August 2021 issue, the Journal of Pediatric Surgery Case Reports published a case study of an an 11-year-old girl in California whose appendicitis was caused by an orthodontic wire. The girl, who didn't know she had swallowed the wire, is believed to be the first case of dental hardware being dislodged and causing appendicitis in a child.
After reviewing 100 years of research on appendicitis cases caused by foreign body ingestion, the authors noted that the swallowed items cause tears and almost all objects are radiopaque. This highlights the importance of using imaging, the authors wrote.
When the clinical picture suggests uncomplicated appendicitis, like in this case, detailed medical history, physical exam, and imaging, especially, are vital for treatment planning, they wrote.
"Imaging, while often unnecessary in the initial diagnosis of acute appendicitis, can also be vital in showing a foreign body in the appendix, as with this patient," Brennan and colleagues concluded.