
If Sally Field is to be believed, then she really, really likes Boniva, the bone loss drug that she currently shills for in TV commercials. And if Cheryl Ladd is considered a reliable source, then having Fosamax in her life is almost as good as having been one of "Charlie's Angels."
What these two actresses don't mention in their ads is the less glamorous side of bisphosphonates, the main ingredient in drugs that build bone mass and stem bone loss: the association between bisphosphonates and osteonecrosis of the jaw.
Bisphosphonate-related osteonecrosis of the jaw (BRONJ) is a relatively new condition, first brought to the attention of the medical community (and dentists in particular) in the early 21st century. But with the graying of the population, and the reliance on bisphosphonates to battle osteoporosis and other bone-related diseases, BRONJ has become a serious problem in need of an effective management solution, according to a presentation last week at the 2007 ADA meeting in San Francisco.
BRONJ "has developed very rapidly," said John Kalmar, D.M.D., Ph.D. "We're talking about a (disease) history back to 2003. So in four years, it's advanced pretty fast and we're still flying with very little concrete information. There are lot of questions about where we are with bisphosphonates and dental care."
"We can manage these patients, but are we managing them effectively?" added Dr. Kalmar, who is the program director in the department of oral and maxillofacial pathology at Ohio State University in Columbus.
In the ADA talk, Dr. Kalmar, along with John Hellstein, D.D.S., offered an overview of BRONJ. While the role of imaging in BRONJ was not a major part of their presentation, two recent papers have taken a closer look at how radiologic studies can be a key factor in making the differential diagnosis.
"The bottom line is that this is a disease that genetically alters the (bone remodeling process)," said Dr. Hellstein, who is a clinical professor of oral pathology and radiology at the University of Iowa in Iowa City.
Bisphosphonates background
"The skeleton is not a static entity," Dr. Kalmar noted. "We know that there is a very fine interplay between the osteoclasts, the large multinucleated cells that can resorb bone and bring calcium into the system as is needed. This (process) loosens up the bone. It's stimulated by, and controlled by, the other cells on the skeleton, the osteoblasts. These osteoclasts and osteoblasts interact with one another, and you cannot affect one without affecting the other."
Basically, bisphosphonates do their job by suppressing bone turnover. Unfortunately, bisphosphonates can suppress bone turnover a little too much, resulting in long-term interference with the osteoclasts and their bone-building capabilities.
Bisphosphonates currently on the market
- Didronel (etidronate disodium) and Actonel with and without calcium (risendronate sodium/risendronate sodium plus calcium), Procter & Gamble Pharmaceuticals, Cincinnati
- Fosamax and Fosamax plus D (alendronate sodium with and without vitamin D3), Merck & Co., Whitehouse, NJ
- Bonefos (clodronate disodium), Bayer Schering Pharma, Berlin
- Skelid (tiludronate disodium), Sanofi-Synthelabo, New York City
- Aredia (pamidronate disodium), and Zometa and Reclast (zoledronic acid), Novartis Pharmaceuticals, East Hanover, NJ
- Boniva (ibandronate sodium), Roche Laboratories, Nutley, NJ
All but Didronel and Skelid are nitrogen-based bisphosphonates. Aredia, Zometa, and sometimes Boniva are administered intravenously, most commonly in multiple myeloma and other cancer patients (breast, prostate, lung) with bone metastases, Dr. Kalmar explained.
On the upside for these patients, cotherapy with IV bisphosphonates can reduce skeletal complications, reduce pain, extend survival, and improve quality of life. However, 50% of the total IV-administered bisphosphonate becomes integrated with the skeleton, and the predominance of BRONJ cases have been in cancer patients, he added.
In addition to osteoporosis, oral bisphosphonates are prescribed for Paget's disease of the bone and hyperparathyroidism, Dr. Hellstein said. Dr. Kalmar stressed that less than 1% of the total dose in oral bisphosphonate is absorbed into the skeleton.
Still, bisphosphonates have a very long half-life in the skeletal system -- 10 to12 years, Dr. Kalmar stated. And because bone itself turns over about 10% every year, the nitrogen-based bisphosphonates are not only embedded in the bone, but are not readily metabolized by the body.
Defining BRONJ
The first report of BRONJ came in 2003 when Robert Marx, D.D.S., from the University of Miami in Florida submitted a letter to the Journal of Oral and Maxillofacial Surgery about the growing epidemic of induced avascular necrosis of the jaws (September 2003, Vol. 61:9, pp. 1115-1117).
A year later, Salvatore Ruggiero, D.M.D., M.D., from the division of oral and maxillofacial surgery at Long Island Jewish Medical Center in New Hyde Park, NY, reported on an additional 63 cases of BRONJ, while Dr. Marx detailed another 119 cases of exposure in a subsequent article (Journal of Oral and Maxillofacial Surgery, May 2004, Vol. 62:5, pp. 527-534; November 2005, Vol. 63:11, pp. 1567-1575).
Four years later, the dental community has moved beyond case reports and is working toward establishing guidelines for diagnosing and treating BRONJ. Drs. Kamar, Hellstein, and Sook-Bin Woo, D.M.D., of Brigham and Women's Hospital in Boston offered a systematic review of BRONJ in a paper in the Annals of Internal Medicine (May 16, 2006, Vol. 144:10, pp. 753-761).
Dr. Ruggiero's group also published background and guidelines for diagnosis, staging, and management of BRONJ (Oral Surgery, Oral Medicine, Oral Pathology, Oral Radiology, and Endodontology, October 2006, Vol. 102:4, pp. 433-441).
Drs. Kalmar and Hellstein referred several times to a paper by R. Graham Russell, M.D., Ph.D., published earlier this year that discussed the pharmacology and mode of action used by bisphosphonates. Dr. Russell is from the Botnar Research Centre and Oxford University Institute of Musculoskeletal Sciences in Oxford, U.K. (Pediatrics, March 2007, Vol. 199: supplement 2, pp. S150-S162).
In March 2007, the American Association of Oral and Maxillofacial Surgeons (AAOMS) issued a position paper on BRONJ, setting out the following disease parameters: Patients who are currently on, or were previously treated with, bisphosphonates must have exposed necrotic bone of the maxillofacial region that has persisted for more than eight weeks and no history of radiation therapy to the jaws (Journal of Oral and Maxillofacial Surgery, March 2007, Vol. 65:3, pp. 369-376).
In the same paper, the AAOMS also laid out a staging system for BRONJ, with the most advanced stage III disease defined as "exposed/necrotic bone in patients with pain, infection, and one or more of the following: pathologic fracture, extraoral fistula, or osteolysis extending to the inferior border."
More recently, the American Society for Bone and Mineral Research (ASBMR) task force put out a similar definition of BRONJ: "The presence of exposed bone in the maxillofacial region that did not heal within eight weeks after identification by a healthcare provider" (Journal of Bone and Mineral Research, July 31, 2007).
Bisphosphonates affect the jaws (and the mandible in particular) so dramatically for various reasons, Drs. Kalmar and Hellstein said. First, bisphosphonates are drawn to areas that are metabolically active: the jaw bones have higher bone turnover than long bones, they explained. Also, the jaws, as well as the oral cavity, are microbial-rich regions that are frequently subjected to minor injury and infection.
Imaging BRONJ
The ASBMR's definition of BRONJ came from a set of guidelines on the management of the disease. In this report, a multidisciplinary group, led by Sundeep Khosla, M.D., from the endocrine research unit at the Mayo Clinic in Rochester, MN, made several recommendations for imaging BRONJ:
Panoramic radiography can distinguish between osteonecrosis and metastatic lesions, and is useful when there is a combination of osteolysis and osteosclerosis. However, as much as 50% bone mineral loss is necessary for optimal x-ray detection.
CT has the potential to detect cancellous and cortical bone involvement, and can aid in differentiating cortical bone involvement from trabecular involvement. But studies have shown that CT cannot contribute to x-ray in asymptomatic patients with osteonecrosis.
MRI depicts histopathologic changes of necrotic bone. In chronic cases, fibrosis and sclerosis of the bone will result in low signal intensity on T1- and T2-weighted imaging.
Technetium-99m scintigraphy could be useful as a screening tool with a sensitivity that is tied to the stage of osteonecrotic lesion. The imaging exam is often done in metastatic cancer patients as part of the routine workup.
PET offers poor resolution with high radiation dose and will most likely not have any role in BRONJ examination.
Optical coherence tomography (OCT) could be used to image small lesions in the alveolar bone; imaging artifacts are a serious problem.
Ultimately, the task force suggested that patients who present with "overt clinical evidence of BRONJ" do not require imaging. However, radiographs should be the first-line imaging study, with other modalities reserved for differential diagnosis. Research continues on the way to optimize BRONJ imaging, such as combining anatomic and functional modalities (cone-beam CT and scintigraphy) and using contrast agents, the group wrote.
In an e-mail to AuntMinnie.com, Dr. Kalmar stated that the role of imaging in BRONJ should be determined on a case-by-case basis. "I think it truly has to be ... reserved for IV bisphosphonate patients or oral drug users with stage II or III presentations," he explained. "Besides the issue of differential diagnosis, use of CT to exclude areas of 'cortical fragmentation' ... may be helpful in predicting sites of exposure or sequestra formation. I wish that the new cone-beam CT units were sensitive enough for this duty, but I have not seen enough data to unequivocally support them as a good alternate to regular CT imaging."
In the second paper, an international multidisciplinary group strongly urged head and neck specialists to consider imaging as an alternative to more invasive methods.
"Cases of exposed bone are not always associated with pain (and) it is preferable to avoid biopsy in patients taking bisphosphonates because of problems with healing postsurgical intervention," wrote Pramit Phal, M.D., and colleagues. "It is important for radiologists to recognize (BRONJ), because imaging is likely to play an increasing role in confirming the diagnosis" (American Journal of Neuroradiology, June-July 2007, Vol. 28:6, pp. 1139-1145).
![]() |
| A 61-year-old man with metastatic prostate cancer treated with zoledronate presents with painful bone exposure of the right mandible (arrow). Phal PM, Myall RWT, Assael LA, Weissman JL, "Imaging Findings of Bisphosphonate-Associated Osteonecrosis of the Jaws," American Journal of Neuroradiology, Vol. 28:6, pp 1139-1145. © American Society of Neuroradiology. |
Dr. Phal is from the department of radiology at Royal Melbourne Hospital in Australia; his co-authors are from the departments of oral and maxillofacial surgery, otolaryngology, and ophthalmology, as well as the School of Dentistry at Oregon Health Science University in Portland.
In this retrospective study, Dr. Phal's group included 15 patients on bisphosphonates who developed osteonecrosis of the jaws. Among the 11 female subjects, six had breast cancer, three had osteoporosis, and two had multiple myeloma. Among the four male patients, there were two cases of prostate cancer, one of multiple myeloma, and one of osteoporosis.
Based on clinical data, 10 of the 15 patients had a degree of osseous sclerosis involving the alveolar margin. Other clinical conditions included sclerotic changes on the mandibular canal, osteolysis, and widening of the periodontal ligament space.
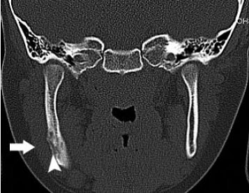
![]() |
| Coronal CT in a 7-year-old girl with sclerosing osteomyelitis demonstrates osseous sclerosis, remodeling, periosteal new bone (arrowhead), and soft-tissue swelling (arrow). Phal PM, Myall RWT, Assael LA, Weissman JL, "Imaging Findings of Bisphosphonate-Associated Osteonecrosis of the Jaws," American Journal of Neuroradiology, Vol. 28:6, pp 1139-1145. © American Society of Neuroradiology. |
Of the 15, all but one patient had orthopantomograms. Five patients had CT scans and one patient had a radionuclide bone scan. Nine patients underwent sequential imaging. All images were reviewed in consensus by two radiologists.
According to the imaging results, osseous sclerosis was the most commonly encountered x-ray finding in all 15 patients. In those who underwent sequential imaging, these sclerotic changes were often progressive, which can act as a hallmark for BRONJ, the authors stated. Osseous sclerosis "varied from subtle thickening of the lamina dura and alveolar crest to attenuated osteopetrosis-like sclerosis," they explained.
They also stated that they found CT more sensitive than orthopantomography for deciphering soft-tissue swelling, periosteal new bone, and sequestrum.
Management
A major challenge that the healthcare community faces with BRONJ is that of under-reporting, Drs. Kalmar and Hellstein said. Most primary care physicians are not likely to check the jaws and oral cavity of their patients on bisphosphonates, they said, so it is up to dental professionals to keep a lookout.
To that end, they recommended that the individual patient is the best predictor of future BRONJ. "In an individual patient, a single extraction or single sextant surgery will likely provide the best predictor of risk in other sextants/quadrants," Dr. Hellstein said. In these patients, the best bet is minimizing the need for, and the extent of surgery, because their ability to heal is retarded, he added.
The duo offered the following treatment paradigm:
- Obtain a comprehensive medical history, asking specifically about bisphosphonates use.
- Minimize trauma and infection by being conservative with dentoalveolar surgery.
- Minimize bone and/or soft-tissue manipulation with conservative debridement.
- Treat with topical, alcohol-free chlorhexidine.
If BRONJ persists, then systemic treatment may be necessary. They suggested combining topical treatment with systemic antibiotics (penicillin or amoxicillin).
While informing patients of the ongoing BRONJ risk is important, Dr. Hellstein urged ADA attendees not to scare patients. "What's the best thing that they can do? Visit their dentist twice a year and practice good oral hygiene," he said. "It's that simple."
Finally, Drs. Kalmar and Hellstein stressed that dental professionals should never advise a patient to go off bisphosphonates.
"No studies have shown that discontinuing bisphosphonates, particularly oral bisphosphonates ... will improve the healing of [BRONJ]," Dr. Kalmar noted. "Bisphosphonates should never be stopped without physician consultation. The risks associated with cancer or osteonecrosis almost always outweigh the risk of BRONJ."
Copyright © 2007 DrBicuspid.com





















